下载或打开 医联APP 查看完整评论
立即下载
打开APP
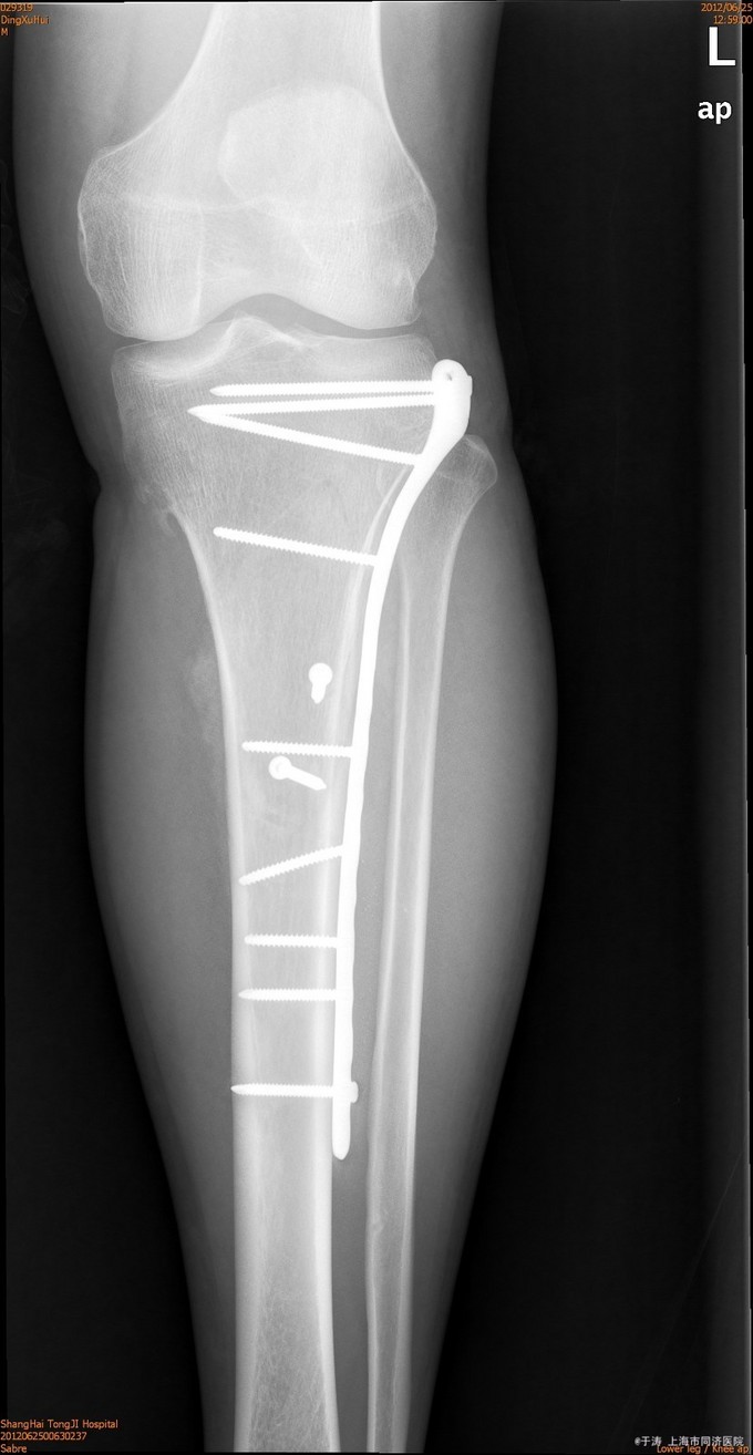
患者男,38岁,车祸后左膝肿痛9小时入院。患者9小时前车祸撞伤,于我院急诊就诊,X线及CT示:盆腔积液、左肾囊肿、蛛网膜下腔出血、左胫骨近端骨折。遂收治入院。


专科查体:左膝明显肿胀、压痛、活动受限。被动活动后疼痛加重,皮下青紫、淤血。左足踝活动、感觉、血运可,足背动脉可及。



诊断为左胫骨近端骨折,兄弟科室对症处理、生命体征平稳后,行左胫骨近端骨折ORIF术,术后抗炎、补液对症处理。


术后4月随访,复位可,骨折愈合可,力线可,内固定在位。对于胫骨近端骨折,ORIF术效果确凿。

