下载或打开 医联APP 查看完整评论
立即下载
打开APP
主诉:左下后牙疼痛不适数日 现病史:数日来,患者左下后牙疼痛不适影响进食睡眠来诊。 既往史:健康

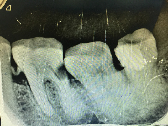
临床检查:36远中邻面龋坏,探疼(+),冷(++),叩(-)可探及穿髓点,无窦道,松动度(-),牙周正常. 辅助检查:X线示36远中龋坏累积髓腔。
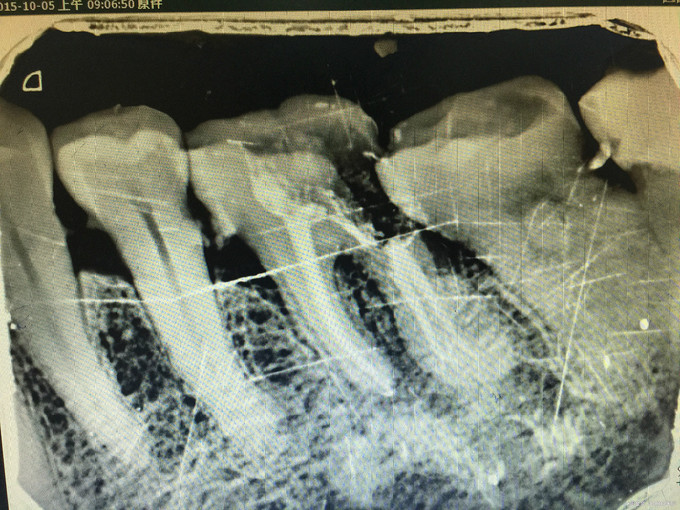
诊断:36牙髓炎 治疗:经患者知情同意后,36局麻去腐降牙合,开髓拔髓寻找根管口,建立直线通路,扩通根管,确定工作长度。vdw/EDTA凝胶镍钛器械,低浓度次氯酸钠冲洗根管,预备至25/06,氢氧化钙诊间封药,一周后复诊,试主尖X线示恰充,试干根管,导AH-PLUS糊剂,VDW热压胶垂直加压根充,术后见根管恰充,暂封嵌体修复。
随访;术后可能出现短期的疼痛,冠修复前禁咬硬物。