打开应用

继发龋危害

徐医师   中国人民解放军北部战区空军医院

主诉 病史

主诉:右上后牙疼痛不适数日 现病史:数日来,患者右上后牙曾行树脂充填治疗术近日来疼痛不适影响进食睡眠来诊。 既往史:健康 过敏史:青霉素过敏

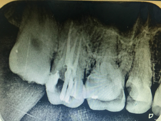
查体 辅查

临床检查:17远中及牙合面充填物未脱落,探(+-),冷(+-),叩(-),松动度(-),牙周正常. 辅助检查:X线示17龋坏近髓腔。

诊断 处理

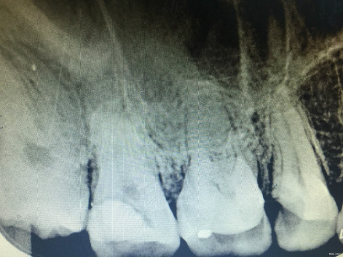
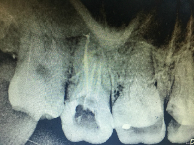
诊断:17继发龋 治疗:经患者知情同意后,17局麻去除原有充填物降牙合,开髓拔髓寻找根管口,建立直线通路,扩通根管,确定工作长度。S3/EDTA凝胶镍钛器械,低浓度次氯酸钠冲洗根管,预备至35/04,氢氧化钙诊间封药,一周后复诊,试主尖X线示恰充,试干根管,导AH-PLUS糊剂,VDW热压胶垂直加压根充,术后见根管恰充,暂封调合抛光。术后观察嵌体修复。

随访 讨论

对于树脂充填一定要去净腐质避免继发龋的发生。

发布于 15-11-30 22:23

0 个评论

暂无评论
发送