下载或打开 医联APP 查看完整评论
立即下载
打开APP
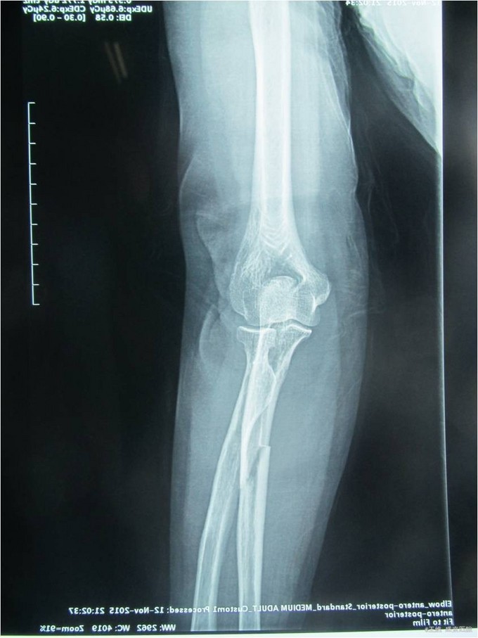
患者自诉于2015年11月12日晚6点左右走路时被汽车撞到,左前臂着地,当时左前臂疼痛,不能活动。急诊去沈阳市八院就诊,并拍片示左尺骨骨折骨折,患者及家属为求进一步手术治疗而来我院,急诊以“左尺骨干骨折”为主要诊断收入我科.病来患者饮食二便正常。


专科查体:左前臂中段肿胀,未见明显畸形,压痛(+),叩击痛(+),左肘关节及腕关节活动度良好,左手各手指活动度良好,感觉正常
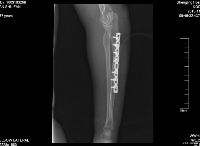
患者入院后完善相关检查,给予止痛,抗炎,消肿,冷敷等对症治疗后,择期全麻下行左尺骨骨折切开复位钢板内固定术。术后给予患肢抬高后,消炎,消肿等治疗,2天换药一次后,14天后拆线予以出院。

