打开应用

自发性颅内积气一例

孔医师   深圳市龙岗中心医院
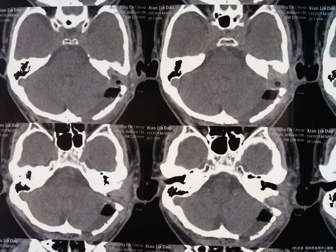
颅内积气

主诉 病史

患者头痛头晕半年余,在外院性头颅CT提示颅内积气,2月前曾在北京某医院住院开颅手术治疗,术后积气复发,仍伴有头痛头晕症状,左侧枕部切口部位皮下包块,积气,并多次性皮下抽吸术,约2-3天后皮下积气复发,头晕症状明显。

查体 辅查

患者神清,生命体征平稳,左枕部可见手术切口,可触及皮下包块,触及部分露骨缺损,切口愈合良好,双瞳孔等大同圆,直径2.5mm,对光反射灵敏,颈软,无抵抗,心肺腹未见明显异常,四肢活动好,肌力肌张力基本正常。余神经查体(-)。

诊断 处理

诊断:自发性颅内积气(张力性) 入院后予以完善相关检查,行颞骨乳突薄层CT扫面,考虑乳突气房内耳道漏气,粘膜瓣形成张力性气颅,再次开路手术创伤大,联合耳鼻喉科,行颅外手术,耳后入路磨除乳突气房,发现粘膜活瓣样活动,分辨漏气口,自取皮下筋膜,及带蒂肌皮瓣,填塞漏口及乳突气房,生物胶粘合,手术顺利,术后恢复良好。

随访 讨论

患者恢复良好,术后未见皮下积气复发,复查头颅CT提示颅内积气明显吸收好转。对于此类自发性颅内积气,乳突气房与外界相通可能性大,开路手术创伤大,且效果不明显,联合耳鼻喉科手术效果明确,多学科合作在某些疾病的诊断及处理上非常重要。 颅内自发积气较少见,处理上的一点经验,跟大家一起分享,谢谢大家批评指教!

发布于 15-12-31 14:18

4 个评论

发送