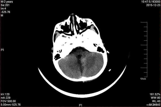
患儿,2岁,以“突发恶心、呕吐10天”为主诉入院 现病史:患者10天前不明原因出现恶心、非喷射性呕吐多次胃内容物,家属急送当地医院就诊,曾以胃肠型感冒就治,给予阿米卡星,西咪替丁等药物治疗,具体剂量不详,因症状不能缓解,于今日16时行头颅CT检查,提示:考虑小脑蚓部髓母细胞瘤伴梗阻性脑积水及脑室周围间质水肿(丹东东港市中心医院 2015年12月19日)。患儿,无意识丧失,无发热抽搐,无视力丧失,四肢活动可,家属为求进一步诊治来我院,门诊以四脑室占位性病变为诊断收入院,病来患儿纳差,嗜睡,大小便正常,发病来体重较发病前减少1公斤。 3.既往史与过敏史:患儿无先天性心脏病;否认肝炎结核病史、否认糖尿病病史,否认输血史;否认青霉素及头孢类药物过敏史。按规定计划免疫。
查体: T:36.5℃,P:100次/分,BP:96/60mHg,R:16次/分,嗜睡状态,查体合作。粗测双眼视力下降。双瞳孔等大正圆,D≈3.0mm,对光反射灵敏,眼球向各方向活动自如,眼位居中,无眼震。面纹对称,无张口受限,伸舌居中,悬雍垂居中。四肢活动自如,肌力IV级,肌张力正常,深浅感觉检查未见异常。双巴氏征(-). 辅助检查:头颅CT检查(丹东东港市中心医院 2015年12月19日):考虑小脑蚓部髓母细胞瘤伴梗阻性脑积水及脑室周围间质水肿。







诊断:四脑室占位 ,梗阻性脑积水。 治疗:完善相关检查及术前准备后行手术治疗。 施麻成功后,先行脑室外引流术,取仰卧位。标记右侧额角穿刺点,常规消毒以左侧额角为中心术野头皮,铺无菌手术单巾。沿标记线切开头皮至骨膜,剥离骨膜,显露出颅骨。钻颅孔一个,电凝颅孔中心部硬脑膜,平行於矢状面、垂直双外耳道连线将脑室外引流管插入颅内约4cm,有明显落空感,继续进入共约5cm,抽出管芯,有血性脑脊液快速涌出。另穿口固定脑室外引流管。 再次取俯卧位,头托固定头部。标记后枕部正中切口线,常规消毒术区头皮,铺无菌手术单。沿标记线切开头皮及枕部肌肉至枕骨和环椎椎板。在枕骨上钻颅孔1个,铣刀配合铣下颅骨,制成约4cm×4cm骨窗,骨瓣保留。置术野保护巾,更换手套。沿骨窗外侧缘切开硬脑膜,并将其向横窦方向翻转,悬吊于骨窗外软组织。导入显微镜操作,开放枕大池,放出脑脊液后,双侧小脑半球塌陷,用自动牵开器轻轻将小脑半球牵向外侧,将小脑蚓部皮层切开约0.5cm,向深部探查,可见肿瘤,先沿软化带剥离肿瘤周边,电凝烧灼周边供血血管,分块切除肿瘤,至四脑室底处轻轻分离肿瘤组织与其的粘连,逐渐深入,最终将肿瘤组织全部切除。四脑室正中孔开放,脑脊液通畅,脑波动良好,反复冲洗术野,无活动性出血,双侧小脑半球塌陷,张力不高。清点器械、棉片无误,缝合修补硬膜,还纳骨瓣,逐层缝合各层肌肉、皮肤,术终。



病理结果回报:符合髓母细胞瘤。 髓母细胞瘤是颅内恶性程度很高的恶性肿瘤,其高度恶性表现在三个方面:①生长极其迅速;②手术不易全部切除;③肿瘤细胞有沿脑脊液产生播散性种植的倾向。主要发生于14岁以下的儿童,少数见于20岁以上者。多伦多和费城儿童医院皆报道髓母细胞瘤的发病率仅次于小脑星形细胞瘤而居儿童后颅窝肿瘤的第二位。在儿童占神经胶质瘤的10.7%,占颅内肿瘤7.6%。文献中占神经胶质瘤的6.5%~10%。平均年龄14岁,12岁以下的儿童占本肿瘤全数病人的69%,男女别比为2:1。在儿童几乎均位于小脑蚓部,突入第四脑室,甚至充满小脑延髓池。偶见于小脑半球。
