下载或打开 医联APP 查看完整评论
立即下载
打开APP
患者:女 37岁 主诉:发现腹部包块伴恶性、呕吐1月余 病史:患者平素一直有胃部不适,偶有胃痛、饱胀感不适,一直口服药物治疗,未见明显好转,1月前自觉腹部包块,并出现恶性、呕吐。呕吐为胃内容物。
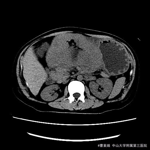
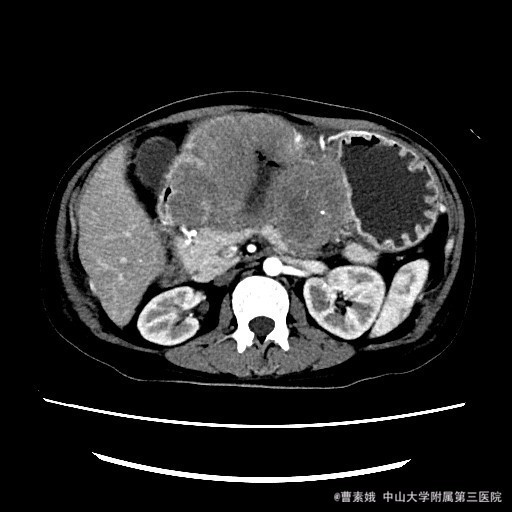
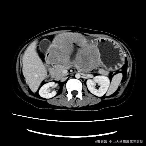
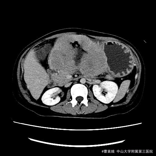
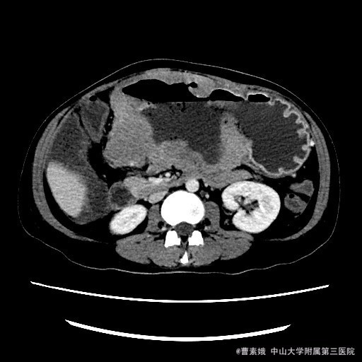
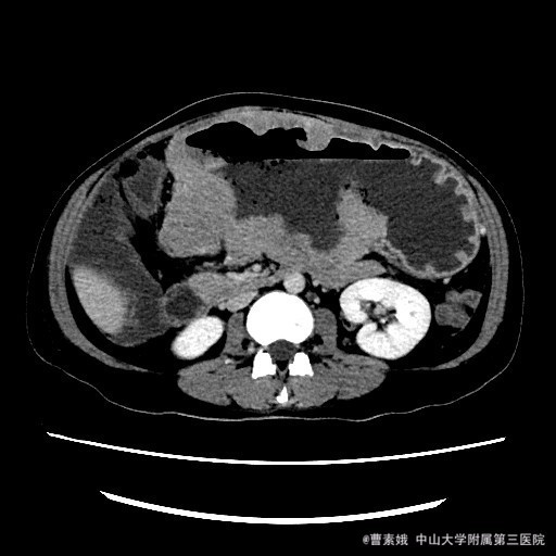
查体:左上腹触及一包块,较柔软,余未特殊。 辅助检查:全腹CT平扫+增强示:胃体至胃窦部胃壁弥漫性增厚并软组织肿块,考虑淋巴瘤可能性大。






入院诊断:胃淋巴瘤(?) 治疗:诊断:胃淋巴瘤(?) 治疗:入院后(胃部肿物)送检组织镜下见胃粘膜固有层及肌层结构破坏,并见中等偏大异形淋巴样细胞弥漫浸润,局部成片分布,细胞具有异型性,可见核仁,核分裂象易见,结合免疫组化结果,符合高级别B细胞源性淋巴瘤,考虑滤泡淋巴瘤(FL3b)。组织少,肿瘤成份少,不完全排除弥漫大B细胞性淋巴瘤(生发中心亚型)。建议结合临床。排除手术禁忌症后,于腹腔镜下胃大部分切除术 。 术程顺利,患者恢复较好,建议其进一步化疗,患者表示拒绝后出院。
1、胃淋巴瘤:相对少见的恶性消化道肿瘤 2、胃肠道淋巴瘤占总NHL的4%~20%,是NHL首诊时最常见的淋巴结外发病部位