下载或打开 医联APP 查看完整评论
立即下载
打开APP
青年男性患者,10年前清除耵聍后出现右耳听力下降,外院检查提示“双耳神经性耳聋”,未予诊治。5年前开始出现视物模糊,8月余前体检时发现尿比重1.011,尿蛋白(+),尿隐血(+),尿糖(+)。7月前我院门诊检查提示尿素氮15.3mmol/L,血肌酐477umol/L,眼科会诊见前锥形晶体;纯音听阈检查提示双耳中重度感音神经性聋;皮肤活检提示X性连锁Alport综合征可能性大。家族史:母亲患高血压、尿隐血(+),1兄1弟已故,其小女儿近期查尿隐血阳性。
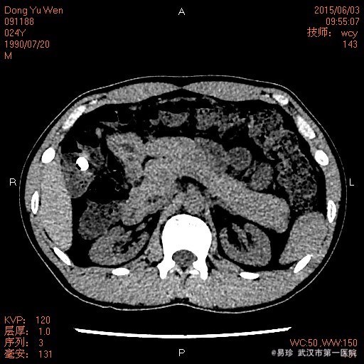
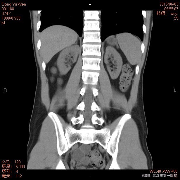
查体:生命体征平稳,听力下降,心肺听诊未见明显异常,腹软、无压痛,双下肢无水肿。 辅查: 泌尿系CT:双肾慢性肾病表现,双肾小结石,右肾轻度积液,右侧输尿管上段扩张,中下段显示不清。



诊断:Alport综合征 慢性肾脏病4期 治疗:予护肾排毒、碱化尿液、解痉等治疗,后由于血肌酐仍升高,遂行右上肢动静脉内瘘成形术,术后内瘘处触及明显震颤;治疗予护肾、降脂、纠正贫血、降PTH等治疗。
患者目前规律血液透析中,嘱其低盐低脂优质低蛋白饮食,注意保护右上肢动静脉内瘘,禁止剧烈运动及重体力活动。Alport综合征俗称眼耳肾综合征,此例表现较为典型,且有家族史,应注意排除后代患病情况。