下载或打开 医联APP 查看完整评论
立即下载
打开APP
患者男,60岁。 因双上肢和项部多发无症状性丘疹1年来我科就诊。 1年前双手背、前臂、项部出现多发半透明或肤色的小丘疹,不伴痒痛,持续存在且逐渐增多。 既往史及家族史无特殊。

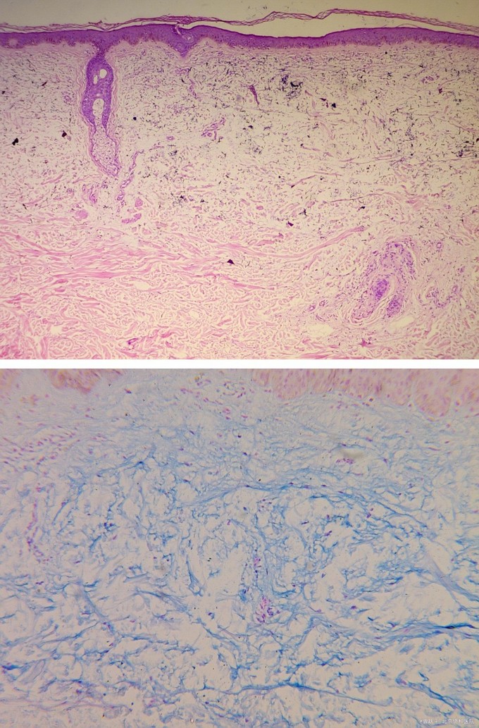
一般情况良好,系统检查无异常。 双手背、腕部及双前臂远端伸侧、项部可见对称性散发圆顶丘疹,1-5mm大小,半透明至肤色。项部左下方可见一1cm×1.5cm大小红色斑块。所有皮损表面光滑、质韧,无触痛。 其余部位皮肤未见类似损害。 血尿常规、肝肾功能、甲状腺功能、血清蛋白电泳和免疫蛋白电泳检查未见异常。 组织病理(左前臂和项部丘疹):表皮大致正常,真皮浅中层带状粘蛋白沉积,胶原纤维间隔显著增加。安申兰染色阳性。

局限型丘疹性粘蛋白沉积症 开始时未予特殊治疗,随访5年皮损无变化。 近3月外用0.1%他克莫司软膏,皮损有好转。
丘疹性粘蛋白沉积症(Papular mucinosis,PM),又称为苔藓样粘液水肿。 慢性、特发性,真皮内出现粘蛋白异常沉积,不伴甲状腺疾病。可分为3型 泛发型(硬皮病样型,伴副球蛋白血症和系统表现), 局限型(仅累及皮肤), 不典型型或中间型。局限型PM分为4个亚型: 散在型、肢端持续型、结节型和婴儿型。 本例特点:皮损累及手背、腕部和前臂远端伸侧及项部。 本例提示散在型和肢端持续型PM之间可能存在一个重叠类型。