下载或打开 医联APP 查看完整评论
立即下载
打开APP
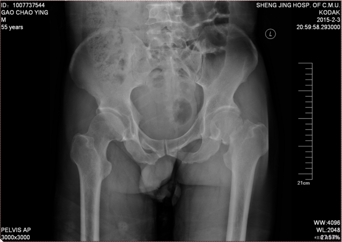
患者自述于2015-12-3日15时在工厂干活时不慎由梯子上摔落(高约3米),致左髋部疼痛、活动受限,不能站立行走,急送至当地医院行骨盆DR示:左股骨颈骨折。现患者为求进一步诊治来我院,急诊以“左股骨颈骨折”为诊断收入我科。患者自受伤以来一般状态可,无发热,无头晕、呕吐,无胸闷、心悸呼吸困难,无腹痛、腹泻,饮食可,睡眠可,二便正常。

专科查体:患者平车入病房,左小腿胫骨牵引中,右下肢外展、外旋约45度,患肢缩短约1cm 右髋部疼痛,压痛(+),右下肢感觉未见异常,活动可,双侧足背动脉搏动可触及。




患者入院后完善相关检查,查无明显手术禁忌症后,CSEA下行左股骨颈骨折闭合复位空心钉内固定术,术后患者抗炎等对症治疗,患者第二天退院。嘱患者卧床休息3个月后,复查。
