下载或打开 医联APP 查看完整评论
立即下载
打开APP
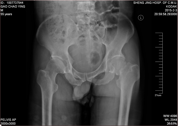
主诉:摔伤后左髋部疼痛活动受限8小时 患者自述于2015-2-3日15时在工厂干活时不慎由梯子上摔落(高约2米),致左髋部疼痛、活动受限,不能站立行走,急送至抚顺市中医院行骨盆DR示:左股骨颈骨折。现患者为求进一步诊治来我院,急诊以“左股骨颈骨折”为诊断收入我科。患者自受伤以来一般状态可,无发热,无头晕、呕吐,无胸闷、心悸呼吸困难,无腹痛、腹泻,饮食可,睡眠可,二便正常。

查体:左髋部未见明显肿胀及瘀斑,左大腿外旋畸形约为45度。左股动脉搏动有力,肢体末梢血运良好,皮温正常。左髋部压痛(+)扣击痛(+)。左髋关节活动受限。




患者入院后完善相关检查,查无明显手术禁忌症后行左股骨颈骨折闭合复位空心钉内固定术。患者术后卧床休息,给予接骨等对症治疗。
