下载或打开 医联APP 查看完整评论
立即下载
打开APP
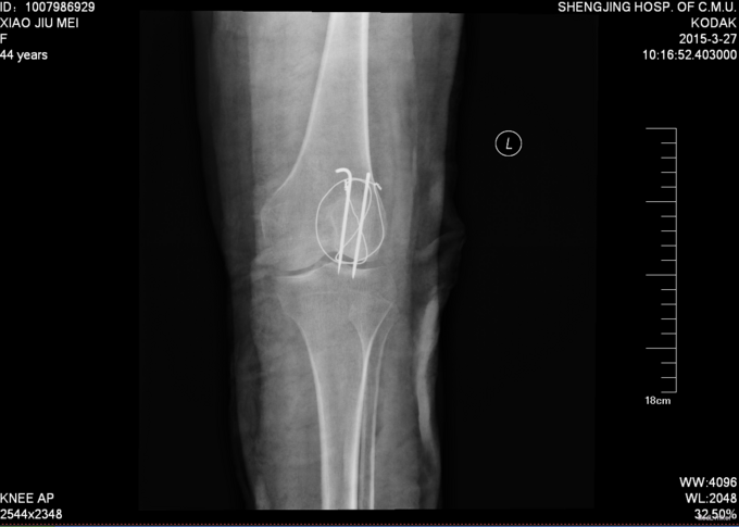
主诉:摔伤后左膝部疼痛肿胀活动受限4小时 患者及家属述患者于2015-3-14日9点40于自家不慎摔倒,导致左膝部疼痛肿胀活动受限,家人急送至沈阳市骨科医院,行DR检查示:左髌骨骨折。未行任何处理,现患者为求进一步诊治来我院,急诊以“左髌骨骨折”为主要诊断收入我科。患者自受伤以来,无发热,无呼吸困难,饮食睡眠正常,二便正常。



专科查体:患者平车入病房,。左膝部肿胀明显,压痛(+),活动受限。双下肢感觉正常 ,足趾活动可,足背动脉可触及。
诊断:左髌骨骨折 患者入院后见患肢肿胀明显,给予患肢石膏固定抬高位,冷敷,甘露醇消肿等对症治疗,带患肢出现褶皱试验阳性后,CSEA下行左髌骨骨折切口复位张力带内固定术,术后患者肿胀明显,给予,消肿,冷敷,患肢抬高等对症治疗。患者每天换药观察切口愈合情况,无红肿及渗出,待伤口12天后予以拆线治疗,予以出院,给予康复处方。

