下载或打开 医联APP 查看完整评论
立即下载
打开APP
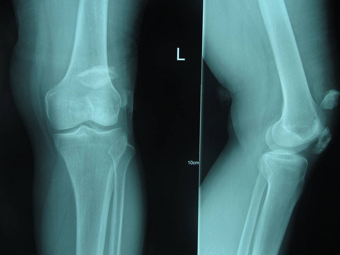
患者自诉于2015年5月17日晚21点多在外不慎摔伤,致左膝部疼痛肿胀活动受限,当时无意识不清,急诊送当地医院(铁岭市中心医院),行左膝关节DR及三维CT:左髌骨骨折。今为进一步治疗急于我院中国医科大学附属盛京医院,行X线片检查示:左髌骨骨折,急诊以“左髌骨骨折”为诊断收住入院。





专科查体:患者轮椅入病房,左膝部肿胀明显,疼痛,压痛(+),活动受限,骨擦音,骨擦感(+), 患肢足趾活动可,足背动脉可触及。
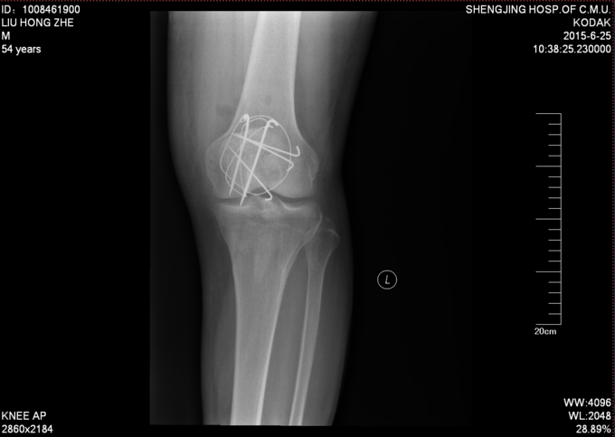
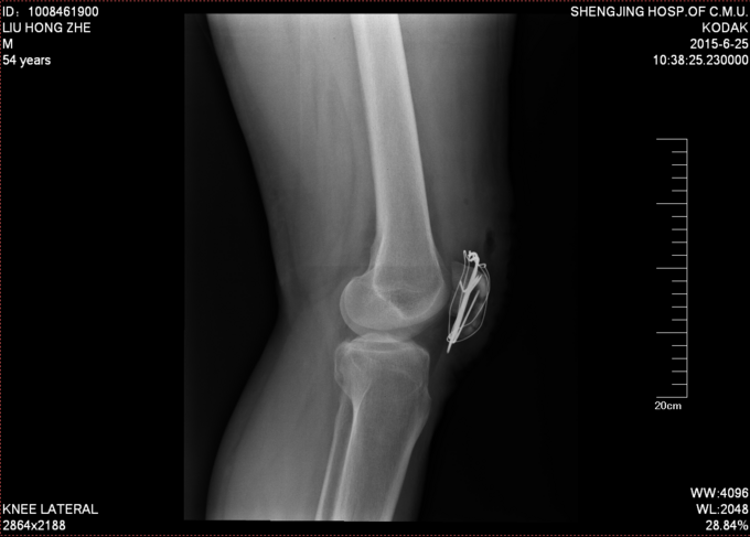
诊断:左髌骨骨折 患者入院后左膝部抬高,冷疗,消肿等对症治疗后,约一周后行左髌骨骨折切开复位张力带内固定术。

