下载或打开 医联APP 查看完整评论
立即下载
打开APP
主诉:胸骨后隐痛不适伴反酸嗳气4个月。 病史:患者4个月前起反复出现胸骨后隐痛不适,呈持续性,伴反酸嗳气,有剑突下烧灼感,进食后症状加剧,无恶心呕吐,无眼黄尿黄,无畏寒发热,无胸闷心慌,无呼吸困难,无咳嗽咳痰;既往于半年前曾罹患肺结核病,予以正规抗痨治疗6个月,近期有活动后盗汗。
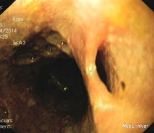
入院后查体:神志清楚,消瘦貌,中度营养不良。双肺听诊呼吸音粗,未闻及干湿性啰音。心律齐,各瓣膜听诊区未闻及病理性杂音。腹平,无腹壁静脉曲张,未见肠型、蠕动波。腹软,剑突下轻压痛,无反跳痛,无肌卫,移动性浊音阴性,肠鸣音约4次/min。 入院后行胃镜检查示食管中下段散在数条沿食管纵轴向下延伸的条索状裂陷或口疮样溃疡灶,部分深潜呈窦道样改变(见图1~2)。 病理报告单:(食道)鳞形上皮黏膜急慢性炎,见部分坏死、肉芽组织,H.pylori(-)。 肠镜及全消化道造影检查未见明显器质性疾病。 全胸片示:右侧胸腔积液,右上肺斑片状及纤维索条状状影。


入院后初步诊断为食管结核,予以抗痨治疗后效果欠佳,后经全院病例讨论考虑食管Crohn病的可能性较大,加用强的松40mg qd,美莎拉嗪0.75g bid治疗一周后,临床症状明显缓解,故诊断为:1.食管Crohn病,2.两肺陈旧性结核。
讨论:食管Crohn病单发非常罕见,常继发于小肠回肠末端或结肠Crohn病,而本例患者未有明显下腹痛、便血等相关临床表现肠镜及全消化道钡餐等辅助检查也未能查见中下消化道罹患Crohn病的可能,导致食管病灶诊断为Crohn病较为困难。临床工作中需认真识别Crohn病的特点及相关辅助检査的特征,才能做到尽量减少误诊。