打开应用

一例误诊为食管癌晚期的食管异物

王医师   广西省南宁博锐医院
心悸 头晕 高血压病

主诉 病史

主诉:喉咙疼痛,上腹部疼痛4天余。现病史:患者自诉4天前天午饭后出现喉咙疼痛,上腹部疼痛,呈阵发性胀痛,疼痛无向其处放射,无恶心,无呕吐,无黄疸、腹泻、畏寒发热等,无头晕,无心悸、胸闷、气促、呼吸困难等不适,到广西壮族自治民族医院就诊,诊断为“肠梗阻、胆囊结石”,给予禁食、胃肠减压、对症补液治疗(具体不详),疼痛稍缓解,现为进一步诊疗特来我院就诊,门诊以“腹痛原因待查,胆囊结石”收住入院。自发病来患者饮食、睡眠、精神差,小便正常,大便未排,体重无明显改变。既往史:体健,否认“高血压病、糖尿病、心脏病”等病史,否认“肝炎、血吸虫、结核”等传染病史;否认重大手术及外伤史,具体不详,否认输血、献血史;否认药物、食物过敏;预防接种史不详。个人史:出生于原地,否认久居异地史,否认疫区、放射性物质接触史,否认烟酒嗜好史;无吸毒史等。婚育史:适龄结婚,育有1女,配偶及孩子均体健家族史:否认家族性遗传病及传染病史。                                                       

查体 辅查

                         体格检查   体温:36.5℃ 脉搏:113次/分 呼吸:20次/分 血压:101/65mmHg 体重:80Kg 身高170cm一般情况:发育正常,营养中等,神志清楚,言语清晰,对答切题,精神好,正常面容,自动体位,检查合作。皮肤粘膜:全身皮肤粘膜无黄染、皮疹、出血点,无肝掌及蜘蛛痣,面颊及口唇无紫绀。淋巴结:全身浅表淋巴结未触及肿大。头部及其器官:头颅大小形态正常、五官端正,眼睑无水肿,结膜无充血,巩膜无黄染,角膜透明,两侧瞳孔等大等圆,直径3.0mm,对光反应及调节反射灵敏,眼球运动正常,视力粗测正常,耳廓无畸形,外耳道无流脓,乳突区无压痛,听力正常,鼻中隔无偏曲,鼻粘膜无充血,无异常分泌物,双唇无发绀,双侧扁桃体无肿大,咽无充血,悬雍垂居中。颈部:无颈静脉怒张及颈动脉异常搏动,气管居中,甲状腺无肿大,未闻及血管杂音。胸部:    胸廓:两侧对称,无畸形,无胸壁静脉曲张,肋间隙无增宽或变窄,胸骨无压痛,双侧胸部对称,未触及包块。    肺脏:呼吸运动两侧对称,呼吸节律正常,20次/分。语音震颤两侧相等,无胸膜摩擦感,叩诊双肺呈清音,听诊双肺呼吸音略粗,未闻及干、湿性啰音,未闻胸膜摩擦音。    心脏:心前区无隆起,心前区未触及震颤及心包摩擦感,心尖搏动位于左锁骨中线第5肋间内侧约1.0cm处,心界不大,心率113次/min,心律齐,各瓣膜听诊区未闻及病理性杂音,无心包摩擦音。周围血管:无毛细血管搏动、枪击音、水冲脉及动脉异常动。腹部:见专科查体。肛门、直肠、外生殖器:未检。脊柱四肢:脊柱生理弯曲存在,稍向后隆起。四肢无畸形,无杵状指趾,双下肢无水肿。神经系统:全身浅深感觉良好,左右肱二头肌腱反射、肱三头肌腱反射、腹壁反射、膝腱反射及跟腱反射均正常,四肢肌力及肌张力均正常,巴彬斯基征阴性,脑膜刺激征阴性。专科情况:全身皮肤粘膜、巩膜无黄染。全腹软,腹部略膨隆,未见胃肠型、蠕动波及腹壁静脉曲张,右上腹部压痛阳性,右上腹部肝区叩击痛阳性,无反跳痛,轻度肌紧张,肝脾肋下未触及,墨菲氏征阳性;双侧肾区无叩击痛,移动性浊音阴性,肠鸣音正常。                                 2017-11-24广西壮族自治区民族医院CT:1.右肺下叶炎症,左后胸膜增厚。2.胆囊结石 3.考虑两肾多发囊肿。彩超:胆囊结石入院后完善辅助如下:

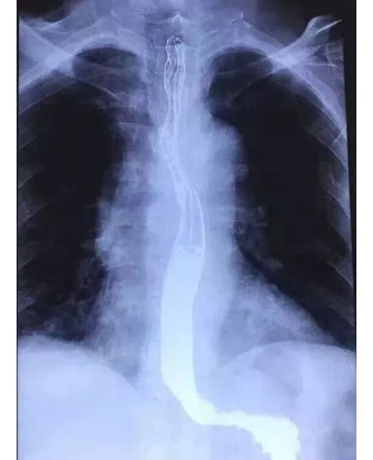
食道钡剂通过顺利,上段局部形态欠规整,管壁略僵硬。其他食管和胃十二指肠未见明显异常。放射科的医生拿不定主意,怀疑是不是上段食管癌?

诊断 处理

入院诊断:腹痛原因待查,食管癌?胆囊结石处理:入院后完善辅助检查,决定行胃镜进一步检查,结果如下:

进镜见喉炎,食管下段糜烂,食管距门齿20~35cm可见菜花状隆起,表面糜烂粗糙,覆厚白苔污秽苔,占据管腔1/3,内镜顺利通过,触之易出血,活检,质地脆,弹性差。作为消化内科的医生,几乎没有疑问,这就是食管癌,而且是晚期,临床表现。返病房,待病理。两天后病理检查的结果出来了:“食管”鳞状上皮黏膜慢性炎局部急性炎及上皮增生。这下子矛盾来了,这眼看着的食管癌,可是病理却连个不典型增生都没有发现,开刀?放疗?化疗?没有病理证实是万万不可能的!决定复查螺旋CT想了解食管病变壁外的情况。结果如下:

显示:食管异物!决定行胃镜再次检查,进镜见:食管上段竟然横挂着一根弯弯的骨头!这可不能随便取!万一骨头扎进了主动脉,贸然取出会当场大出血死人的!

因为已经做了胸部螺旋CT,联系放射科,经过仔细寻找,在食管的部位发现了骨头,虽然已经刺破食管,有了穿孔,万幸的却是骨头并没有在主动脉内,通过胃镜把这个骨头取了出来!

随访 讨论

反思:假如这位老人患的是食管癌,他的病情进展速度,是不是太快了点?如果医生做胃镜的时候感觉病变不清楚,适当冲洗,也许这病变就露出了真面目。再有就是病史,每次检查之前,如果做胃镜的医生知道患者刚刚做了钡餐检查,也许他会想的更多一些,再者,根据推理,患者可能是吃的带肉的骨头,那骨头上的肉,粘上白色的硫酸钡,确实够迷惑人的。总之,该病例确实值得反思。

发布于 19-01-17 22:49

2 个评论

发送