主诉:空腹、劳累后心慌、出汗1年,加重12天。 患者48岁男性,1年前起于空腹、劳累后出现心慌、出汗,偶有黑朦、复视,进食后可缓解,未行检查、治疗。2015-10-07于中午未进食后出现晕厥,送至当地医院就诊途中清醒(约30min后), 当地医院急诊头颅CT平扫提示“腔隙性脑梗”,具体治疗不详,2015-10-09于中午未进食后再次出现晕厥,转入监护病房,1小时后意识恢复,查血糖最低时小于2mmol/L,胰腺CT平扫及增强示“胰头低密度影” 既往史:既往体健。






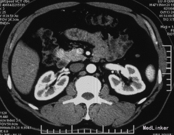
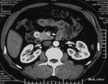
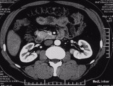
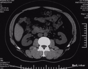
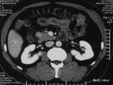
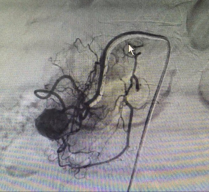
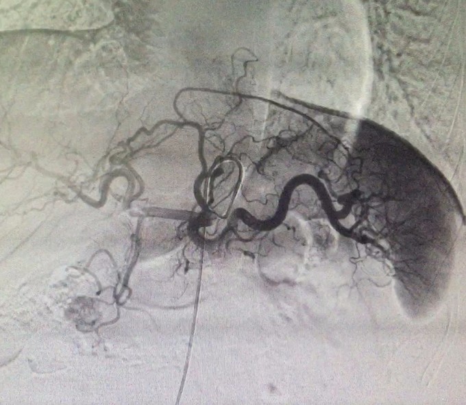
查体:神清,腹软,未及包块,无压痛及反跳痛,神经系统检查未见异常 辅查:外院头颅CT平扫:腔隙性脑梗;胰腺CT平扫:胰头、十二指肠降部稍低密度影,肝内多发小囊肿;上腹部增强CT:胰腺低密度影,考虑良性;肝内多发小囊肿。 入院检查:血、尿、粪常规、肝肾功能、电解质、凝血功能正常;AFP、CEA、CA19-9、CA125、CA15-3、CA72-4均正常;胰岛素78.33mIU/L,C肽 4.91ug/L。腹腔动脉DSA:胰头区富血供肿瘤; 胰腺增强MRI:1、胰头部富血供病变,考虑胰岛素瘤可能性大;2、肝内多发小囊肿。





术前诊断:1、胰头占位性病变(胰岛素瘤?),2、腔隙性脑梗塞,3、肝内多发小囊肿。 术后诊断:1、胰头胰岛素瘤,2、腔隙性脑梗塞,3、肝内多发小囊肿。 入院后控制血糖,完善相关检查在腹腔镜下行胰岛素瘤切除术,术中为、十二指肠、胆囊、横结肠未见异常,胆总管无扩张,打开胃结肠韧带,于胰头健可见大小约2*2cm肿块,表面光滑,边界清,突出于表面,遂行胰岛素瘤切除术超声刀沿肿块边缘完整切除肿块,检查未伤及主胰管。 术后监测血糖,行抗炎、抑酸、补液等对症支持治疗,复查C肽及胰岛素均正常,空腹血糖值正常,康复后出院。
随访:康复后出院,复诊未见异常。 讨论:胰岛素瘤主要表现以低血糖为主的综合征,以静脉血浆葡萄糖浓度<2.8mmol/L作为低血糖症的诊断标准。常有典型的Whipple三联征表现,即:低血糖症状、昏迷及精神神经症状,空腹或劳动后易发作。主要升糖激素检测,筛查循环中抗胰岛素抗体。确诊后治疗以处理原发病为主,首选手术切除肿瘤,对不能手术或恶性肿瘤转移复发者可辅以生长抑素治疗、全身或局部化疗、同位素标记的生长抑素治疗。