下载或打开 医联APP 查看完整评论
立即下载
打开APP
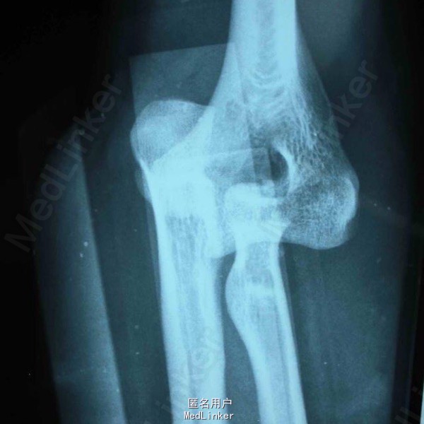
男,45岁,因高处跌落致左肘关节畸形、肿痛、活动障碍 3 天入院。伤后在外院行手法复位后来我院进一步诊治。体检:左肘关节肿胀明显,活动受限。无神经血管并发症。初步诊断:左肘关节损伤三联征。
术前X片



手法复位后X片及术后正侧位 初步诊断:左肘关节损伤三联征。治疗过程:尺骨冠状突骨折块复位固定、桡骨小头骨折块复位固定、内外侧副韧带修复、可活动式外固定支架固定。





对于术后选择石膏固定还是铰链式外固定支架固定,主要考虑哪种外固定有利于术后功能恢复。肘关节损伤三联征主要的并发症:僵硬,复发性不稳定,异位骨化。避免僵硬发生的有效手段就是术后即可以活动(主动或被动)肘关节,石膏固定显然不能达到术后即开始活动肘关节,如果用石膏固定最短需要 2 周(有人建议 7~10 天),如果骨折固定较稳定,没有再移位或复发脱位的倾向,2 周时间是可以的,如果有骨折再移位或复发脱位的倾向,2 周时间可能不够,需延长至 4 周或 6 周。 此时肘关节才能开始活动,僵硬的机会已很大。铰链式外固定支架固定后,患者术后次日即可以主动活动肘关节,也可被动活动,同时外固定支架可施加牵引力有效保护冠状突及桡骨头骨折不再移位,保护修复后的内外侧副韧带复合体不被牵拉撕裂,关节复发脱位不再出现。 去掉外固定架的时间取决于肘关节的稳定性、骨折愈合情况、关节活动度增加和针道状况等。外固定架固定肱尺关节 3~6 周,有人建议外固定架平均使用时间为 8 周 (6—10 周)。术后 8 周后允许非限制性的关节活动锻炼。