下载或打开 医联APP 查看完整评论
立即下载
打开APP
患者5岁,男性,因“肢体乏力2+周,加重伴发热7天”入院。入院前2+周,患者家属发现患儿乏力,以左侧肢体为甚,伴肢体肿胀,发热,体温逐渐升高。
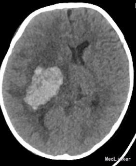
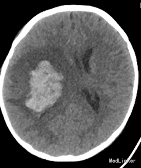
查体:T:36.8℃,P:173次/分,R:30次/分。神志清楚,舌下见约3*2cm水泡,左侧肢体肌力3级,右侧肢体肌力5级。辅助检查:院外CT:右侧基底节区出血。右侧基底节-顶叶区脑出血,大小约5.2cm×3.3cm,周围见大片状水肿带,右侧脑室受压变窄,中线结构左侧移位,环池不对称。CTA示:未见确切异常。全脑血管造影提示:颅内血管未见异常。寄生虫检查示:“猪囊尾蚴IgG阳性,血常规提示缺铁性贫血。


诊断:右侧基底节区顶叶出血,猪囊尾蚴病,缺铁性贫血。给予神经节苷脂钠,甘露醇注射液治疗。
5天后,患儿神清,口唇及甲周苍白,右侧颈部可扪及1枚肿大淋巴结,直径约5mm,,双侧瞳孔等大等圆,直径约3mm,对光反应灵敏,左上肢和左下肢肌张力正常,肌力Ⅳ级,右侧肢体肌力和肌张力正常,病理征阴性。患者家属要求出院,交代出院注意事项后予以出院。