下载或打开 医联APP 查看完整评论
立即下载
打开APP
主诉:腰痛伴左下肢麻木疼痛1月余,加重5天。 患者1月前无明显诱因出现腰部疼痛,伴左臀疼痛及左小腿麻木感,行走时疼痛加重,伴活动困难,卧床休息后可缓解,无发热等症状。近5天来上述症状进行性加重,现为进一步诊治收入我科。患者起病以来,无发热,无咳嗽咳痰,无胸闷气促,无腹胀腹痛,无尿频尿急。精神胃纳可,睡眠可,大小便正常。
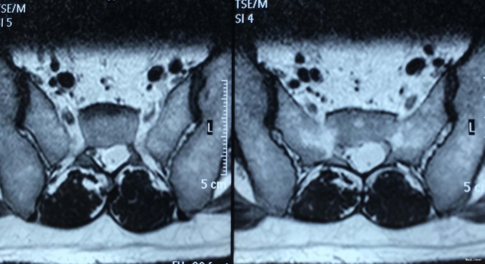
查体:脊柱生理弯曲存在,腰椎活动受限,L4/L5,L5/S1棘突压痛叩痛,叩击痛。左侧直腿抬高试验(+),约35°,加强试验(+),约30°。左下肢外侧皮肤感觉稍减退,右侧正常。双侧髂腰肌、股四头肌肌力Ⅴ级、左侧胫前肌、踇背伸肌肌力Ⅳ级,腹壁反射、肛门反射正常,两侧膝正常,双侧踝反射对称减弱。双侧Babinski征(-),双侧皮温及色泽正常,双侧足背动脉搏动良好。 辅助检查:腰椎磁共振检查显示:腰4/5椎间盘向左后方突出,压迫左侧神经根。骶管骶4水平发现一大小约2*3*3大小的囊肿。



诊断:1.腰4/5椎间盘突出症;2.骶管囊肿; 治疗:给予行左侧腰4/5椎板间开窗髓核摘除术。术后左腰臀部疼痛缓解明显,瞩其定期复查腰椎核磁共振。
随访:术后1个月随访,患者诉腰臀部疼痛明显缓解,左小腿麻木感减轻。 讨论:该患者术前椎间盘突出并不严重,而且合并骶囊肿,须仔细查体,明确责任病灶。骶管囊肿也可引起腰臀部疼痛不适感,术前须与患者交代清楚,手术摘除椎间盘有可能不能完全缓解症状,因骶管囊肿切除并发症较多,建议其随访观察。患者术后满意。