打开应用

腰椎间盘突出

罗医师   广州中医药大学金沙洲医院
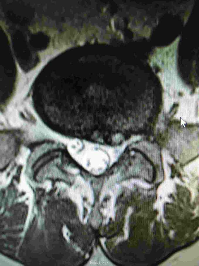
腰椎间盘突出 腰椎间盘突出症 骶管囊肿

主诉 病史

29岁男性,腰腿疼5个月,加重1周,近一周疼痛向右臀及大腿放射至足底伴麻木。

查体 辅查

步态正常,腰椎曲度变直,右侧跟腱反射未引出。右小腿外侧,右大腿后侧麻木,感觉减退

诊断 处理

1:腰椎间盘突出症2:骶管囊肿

随访 讨论

该患者L4/5椎间盘中央突出,L5/S1椎间盘向左突出。手术右侧L4/5,L5/S1开窗,见骶1神经根与骶管囊肿粘连,压迫变性,水肿,变粗硬化。

发布于 15-11-19 10:27

0 个评论

暂无评论
发送