下载或打开 医联APP 查看完整评论
立即下载
打开APP
患者女性,45岁,子宫肌瘤切除术后5年,无意中发现阴阜区肿物3天入院。
查体:阴阜区皮下可见一直径为1cm的质韧结节,边界尚清,表面暗红色,局部无压痛。
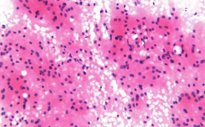
门诊行针吸活检。病理检查镜检:细胞圆形或多角形,细胞之间相互融合成片;胞质丰富,含有明显的嗜酸性颗粒;细胞核较小,圆形或椭圆形,相对居中,大小一致;可见小核仁。细针穿刺标本行免疫组化染色,结果显示S-100核(+),vimentin(+)。细胞学诊断:外阴颗粒细胞瘤,建议手术切除后送病理检查。免疫表型:CD56、CD68、NSE、S-100、vimentin(+),lys(-/+),CD34、NF、desmin均(-),Ki-67增殖指数<5%。病理诊断:外阴颗粒细胞瘤。



颗粒细胞瘤主要累及成人,男女发病率之比为1∶3,以口腔特别是舌部最为常见。外阴良性颗粒细胞瘤占所有颗粒细胞瘤的7%。可发生于任何年龄,通常为单发,多见于阴唇,偶见于阴蒂。也可能是全身多发性颗粒细胞瘤综合征的一部分。颗粒细胞瘤绝大多数属良性,局部切除即可治愈,若切 除不完全则可能复发。