下载或打开 医联APP 查看完整评论
立即下载
打开APP
患者,21岁,因“发现左侧睾丸肿大一年”入院。无睾丸外伤、隐睾等病史。

查体:外生殖器发育正常。左侧睾丸可触及一实性肿物,大小2 cm x2 cm×1.5cm,质硬,无压痛、粘连、周围淋巴结肿大、男性乳腺发育等其他异常体征。 阴囊彩超示:左侧睾丸大小4.23cm×2.01cm,中上部见实性低回声团块,大小1.94×1.6 mm,内部回声不均匀,边界尚清,形态不规则,其内及周边可见较丰富的血流信号。 性激素六项、肿瘤标志物均未见异常。
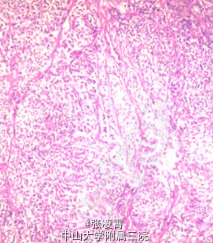
临床诊断:左侧睾丸肿物。 完善相关术前检查后行左侧睾丸高位切除术,术中未见其与周围组织粘连。术后患者平稳,未给予其他辅助治疗。 病理诊断:成人型睾丸颗粒细胞瘤
颗粒细胞瘤是一类多见于卵巢的性索间质肿瘤,占卵巢肿瘤的1.5%,分成年型和幼年型。发生于睾丸的颗粒细胞瘤极为少见,与幼年型相比,成人型更为罕见。因成人型极其罕见,相关资料信息比较匮乏,有待深入观察,以期为临床诊断、治疗预后提供有力依据。