下载或打开 医联APP 查看完整评论
立即下载
打开APP
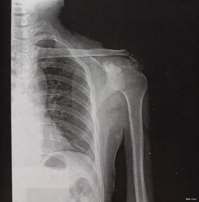
患者男,45岁,右肩疼痛3个月,无外伤及发烧史。患者3月前无明显诱因出现右肩疼痛,疼痛叫剧烈,服用药物及理疗不能缓解,休息时疼痛无明显减轻,为求诊治先来我院。
查体示局部压痛,皮温稍高,不红。生命体征平稳,心肺腹无明显异常。 实验室检查:AKP 180U/L 影像学检查如下


诊断:右肩胛骨占位 治疗:手术治疗 病理:可见形态、大小一致的瘤细胞,诊断为尤文肉瘤。
本例为发生于肩胛骨的尤文肉瘤,X线表现为局部骨质结构模糊,反应性增生,密度增高,具有部分扁骨尤文肉瘤的特点,但发病年龄不典型,诊断有一定困难,鉴别诊断需要考虑软骨肉瘤和成骨转移。成人不规则骨发生的恶性病变最常见的为软骨肉瘤,病灶内出现环形的软骨钙化是诊断最重要的线索。