下载或打开 医联APP 查看完整评论
立即下载
打开APP
中年女性,因腹痛伴恶心,呕吐一天急诊入院,腹痛以肚脐和中下腹明显,间断性绞痛伴恶心,呕吐,无伴其它不适。既往5年前曾行剖宫产术
体查中下腹压痛,无伴反跳痛,可见横切口手术疤痕,余腹部无特殊阳性体征
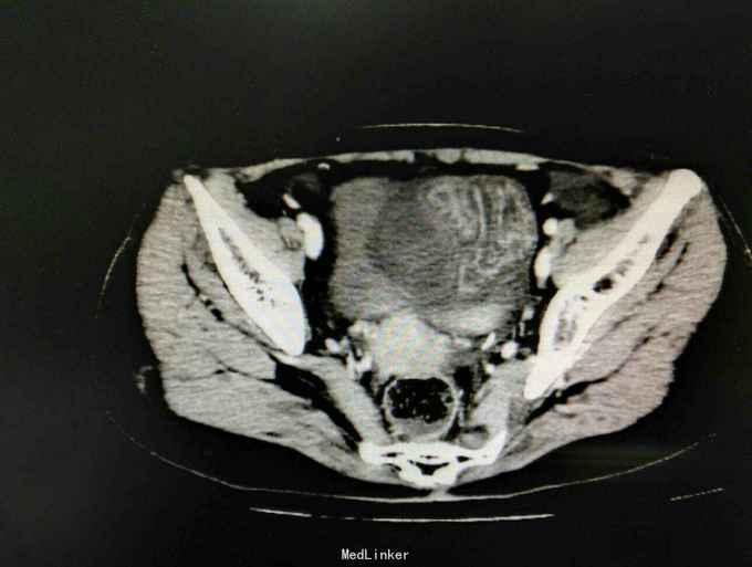
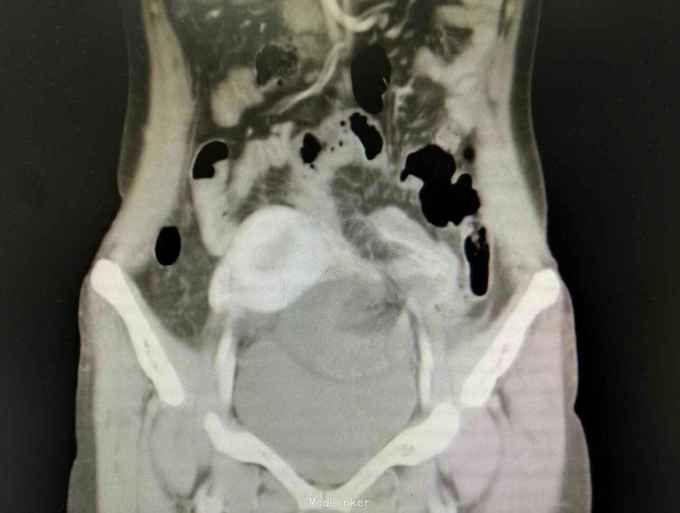
入院后急查血象稍高,完善急诊CT示内疝并闭袢性肠梗阻,予急诊行剖腹探查,术中见子宫右移,距离回盲部50cm回肠内疝入子宫与前腹壁所形成的黏连中,松解黏连,见回肠约15cm缺血坏死,予切除后吻合,缝闭黏连所造成的腔隙,关腹。术后常规治疗,患者回复可予出院。病理如图。







患者腹痛入院,各项生命体征平稳,无腹膜炎体征,抽血也没较大的异常,常规来说并不需要特殊处理,所幸的是完善了CT,及时发现了腹痛原因,因黏连形成的腔隙与腹腔隔离,所以患者腹痛不明显,即使肠坏死一般情况也无特殊,患者发病时间短,CT检查及时,避免了延误治疗导致肠坏死加剧。从中我们可以吸取教训,对于急腹症腹痛不典型的患者,不能用某种炎症解释病情的话,如果既往有手术病史,一定要注意内疝可能,对当前的医疗环境来说,急诊CT可以帮助明确诊断