下载或打开 医联APP 查看完整评论
立即下载
打开APP
打开应用
CAD/CAM瓷贴面制作
王医师
空军军医大学口腔医学院
主诉 病史
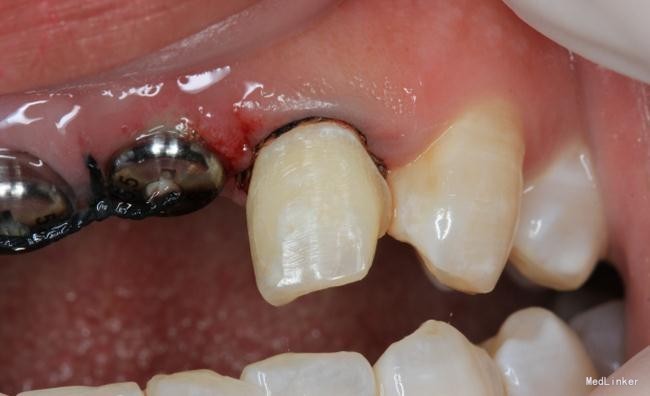
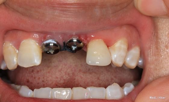
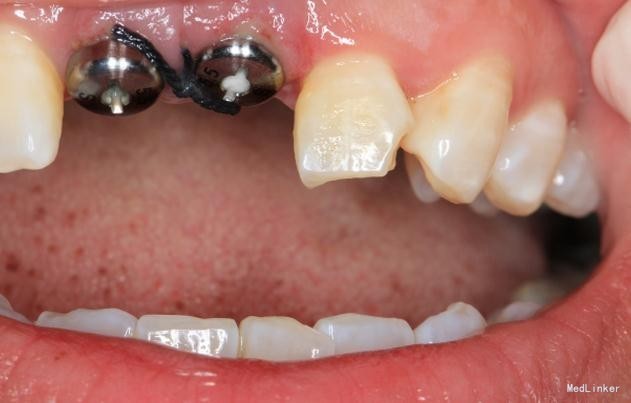
患者,男,40岁,11.12种植修复,因22牙体近中倾斜。要求改变其牙体形态。
查体 辅查
未做曲面断层片
诊断 处理
种植体附近牙齿的贴面修复
随访 讨论
效果很好,患者满意,等待种植牙的戴入
发布于 15-12-25 16:37
医联推荐你看
瓷贴面
瓷贴面
CAD/CAM瓷贴面修复一例
共
8
个评论
查看更多评论
发送
0