打开应用

CAD/CAM瓷贴面修复一例

王教授   四川大学华西口腔医院

主诉 病史

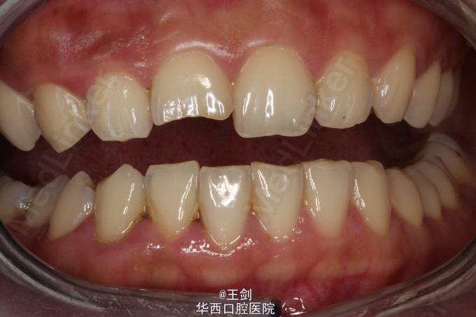
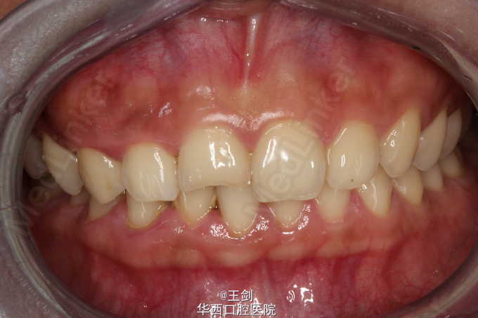
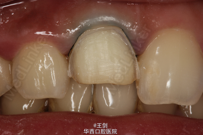
11牙因外伤缺损,未露髓。

查体 辅查

牙髓活力测试正常,X光片未见根尖暗影,叩痛(-)

诊断 处理

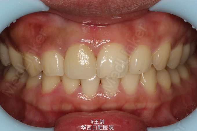
拟行CAD/CAM贴面修复11牙,当天备牙,当天戴牙

随访 讨论

CAD/CAM 技术制作贴面可以达到高度密合,大大节省诊疗时间等优点

发布于 15-06-23 22:11

45 个评论

发送