下载或打开 医联APP 查看完整评论
立即下载
打开APP
消瘦,乏力,易饥6月余。
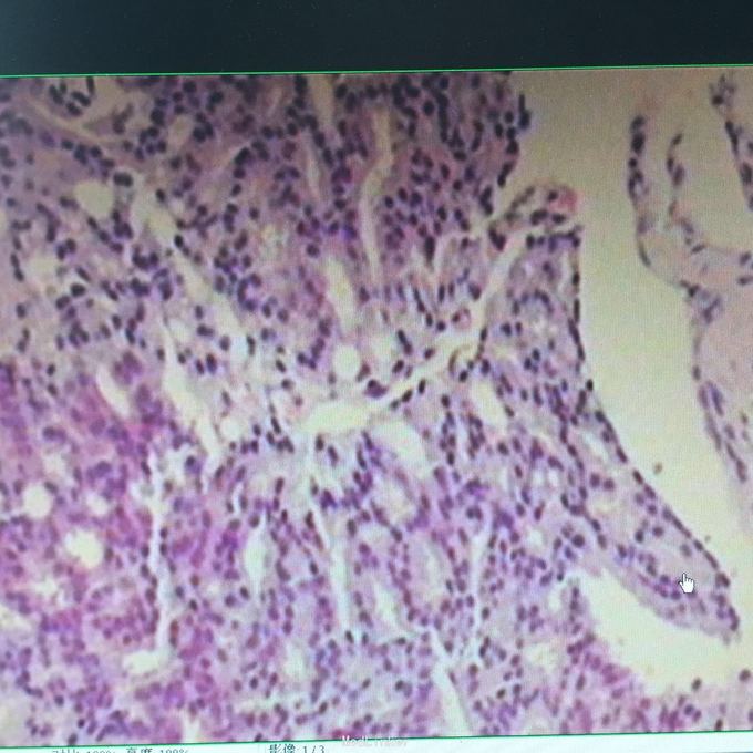
total PSA>100;前列腺磁共振平扫示:前列腺外周带左后方肿块,DWIBS信号明显增浓,考虑前列腺Ca。 行会阴前列腺穿刺活检术,病理示:前列腺腺癌。 全身骨扫描示:超级骨显像,符合前列腺Ca并多发骨转移。






前列腺癌并多发骨转移 处理:给予康士德,诺雷德,唑来磷酸等抗肿瘤治疗,提高免疫力等治疗,根据病情发展必要时给予放化疗及针对骨转移的锶89治疗
注意随访观察病情进展