下载或打开 医联APP 查看完整评论
立即下载
打开APP
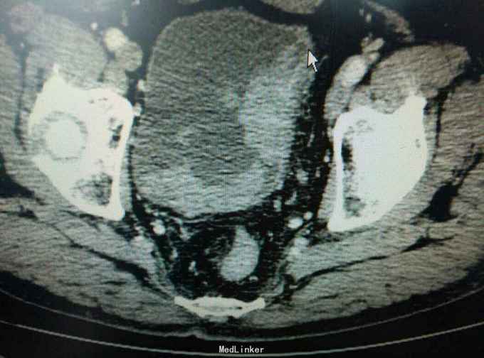
患者三年前无明显诱因下出现无痛性肉眼血尿,单位体检发现膀胱肿瘤,因心里恐惧,未就诊,三年期间患者阅读了日本作者近藤诚的著作不要再上肿瘤的当等书籍,拒绝治疗,希望与肿瘤共存,三年间反复血尿,最后是血红蛋白剩40g时候发生缺血性心脏病时候住院,反复劝导后同意治疗,活检报告浸润性尿路上皮癌,患者拒绝全膀胱,接受电切治疗。


贫血貌


行膀胱肿瘤电切术,术后常规灌注吡柔比星30mg,术后三月时再次行诊断性膀胱肿瘤电切术,术中未见复发,至今已九个月未见复发
术后定期随访,不知道各位前辈有没有这种病例,预后如何