下载或打开 医联APP 查看完整评论
立即下载
打开APP
51岁女性,因“呼吸困难,咳嗽,胸痛,咯血40年”。患者11岁因患重症呼吸道感染后开始出现症状。期间患者症状有好转、消失,但是断断续续持续了40年。无吸烟史
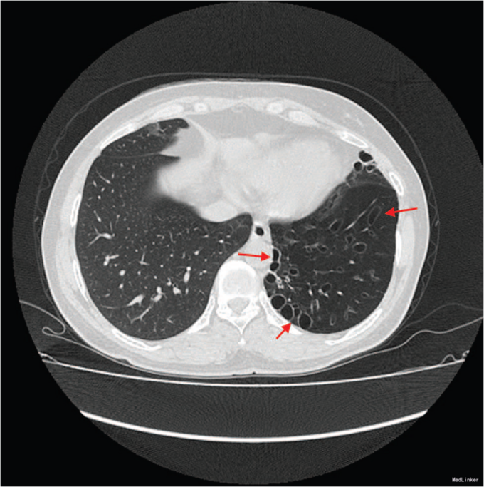
双肺听诊闻及左肺底部湿罗音及双肺呼气相哮鸣音。肺功能检测提示COPD,中度气流阻塞。胸片提示患侧肺透明度增加,支气管扩张及左肺体积缩小。胸部CT提示肺动脉发育不良,支气管扩张,左肺体积减小及密度降低(如图)。

诊断斯-詹综合征伴COPD。给予联合吸入长效β-受体激动剂和皮质类固醇治疗。
讨论:斯-詹综合征,亦称单侧透明肺。是一种种罕见的伴有气流受阻和患侧外周肺血管的直径和数量减少细支气管炎。多见于儿童,女性多见。左肺多于右肺。目前认为是一种继发感染的闭塞性细支气管炎,婴幼儿期严重的肺部感染如腺病毒、麻疹、支原体、百日咳、结核、流感病毒等是其病因。其特点是胸片一侧性肺透亮度增高。闭塞性支气管炎引起受累肺叶的空气滞留和低灌注是SJS放射学表现透明肺原因。通常在儿童期诊断,但也有发生在成人的。临床常表现为呼吸困难、运动耐受力降低、咳嗽、咯血,并反复肺部感染。该病可能与哮喘或肺栓塞有类似的症状,从而可能导致不恰当的治疗。单侧透明肺综合征的并发症包括反复感染部位支气管扩张,肺脓肿,和自发性气胸。治疗主要采用支持对症治疗。预防和控制反复呼吸道感染,使用抗生素控制感染;有明显气道阻塞及多痰者口服或雾化气管扩张剂。 [引自DOI: 10.4187/respcare.02552]