主诉:左全髋置换后再发疼痛伴活动受限8月,加重20天 现病史:老年男性,起病缓,病程长,8年前出现双髋活动时疼痛,左侧重,休息后缓解,症状逐渐加重伴髋关节活动受限,在当地医院行左侧全髋关节置换术,8月前活动后感左髋疼痛,活动受限,伴左腹股沟区肿胀,在当地医院诊断:左髋臼假体松动移位伴局部血肿形成,行髋臼假体复位及血肿穿刺术,术后疼痛缓解,20天前左髋肿胀及疼痛加重,服用西乐葆止痛及休息后缓解不明显,发现高血压14年,服氨氯地平5mg每日一次,血压波动在145/85mmHg左右。







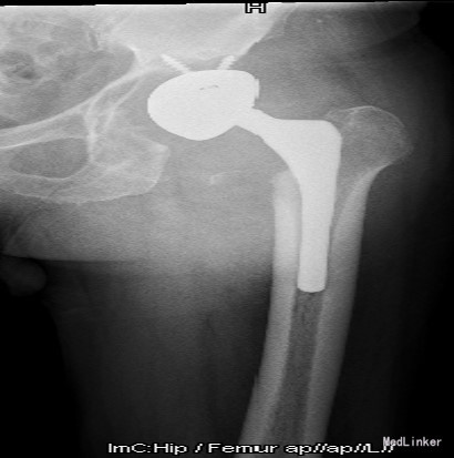
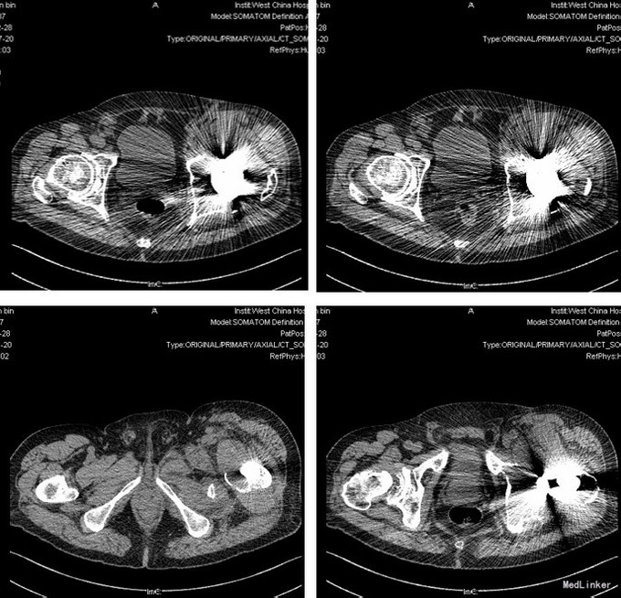
查体:左腹股沟区可见瘢痕及色素沉着,左腹股沟区可触及质硬包块,触之胀痛,局部皮温正常,左下肢内侧皮肤麻木。左髋外展10°,内收10°,屈曲80°,伸0°,内旋0°,外旋5°,右髋外展20°,内收15°,屈90°,伸0°,内旋10°,外旋10°,双髋内、外旋活动诱发疼痛;双下肢基本等长,双侧4字试验(+)。 辅助检查:双髋内、外旋活动诱发疼痛;双下肢基本等长,双侧4字试验(+)。X线片:左髋THA后假体向上移位,右侧股骨形态失常,关节间隙变窄
诊断:1.左侧THA术后假体松动、聚乙烯内衬磨损、炎性假瘤形成 2.左侧THA术后髋臼及股骨近端骨溶解 3.左侧THA术后髋臼及股骨近端骨缺损(髋臼AAOS III型 股骨Paprosky II型) 4.右髋重度骨关节炎 5.高血压 (2期 高危) 治疗:完善检查,调整患者全身条件后在全麻下行左侧全髋关节假体取出+炎性假瘤切除+异体骨植骨+髋臼重建+人工全髋关节翻修术,术中发现:左髋关节囊后外侧炎性假瘤形成,与关节腔相通,内有大量咖啡色混浊液体,髋臼及股骨近端骨溶解导致骨缺损,以髋臼前壁及下壁和股骨近端严重,小转子消失,关节腔周围大量炎性坏死组织。髋臼假体松动。术中安放左侧Zimmer64mmCage,并用8枚不同长度螺钉固定可靠,Cage内放骨水泥后安放外径59mm,内径28mm聚乙烯内衬并调整前倾及外展角度合适,股骨侧安放12#加长股骨柄,28mm直径、+1.5颈长陶瓷股骨头。
1、髋臼骨缺损及股骨骨缺损的分型? 2、髋臼骨缺损的处理方法有哪些?