下载或打开 医联APP 查看完整评论
立即下载
打开APP
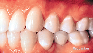
15岁女孩,牙列不齐



左下第二乳磨牙滞留,上下牙列轻度拥挤不齐.全景示左下第二乳磨牙无相应的恒牙,先天缺失35牙
诊断:35牙缺失,牙列不齐 治疗:排齐整平上下牙列,对滞留的乳磨牙处理如下:因乳磨牙宽大,较正常前磨牙近远中径大很多,正畸治疗过程中逐次给乳磨牙减径后树脂修复参与正畸治疗,使减径树脂修复后的乳磨牙宽度为以后修复的前磨牙宽度一致。减径后的间隙留作牙列内其他牙齿的排齐。






2年正畸治疗结束后,乳磨牙仍在。一年以后,患者18岁成年,拔除乳磨牙,植入植体,半年后套冠,效果很好,患者满意。有些先天缺失第二前磨牙的患者,若第二乳磨牙比较健康,可以减径后树脂修复参与正畸治疗,这样有保存骨量,维持牙弓间隙,保持与对合牙功能接触以免对合牙伸长的作用。骨量的保存利于植体的植入。