打开应用

骨转移一例

徐医师   山东省潍坊市医学院附属医院

主诉 病史

患者胃Ca术后8年,自述腰疼,腹疼1年余,疼痛逐渐加重

查体 辅查

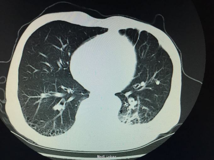
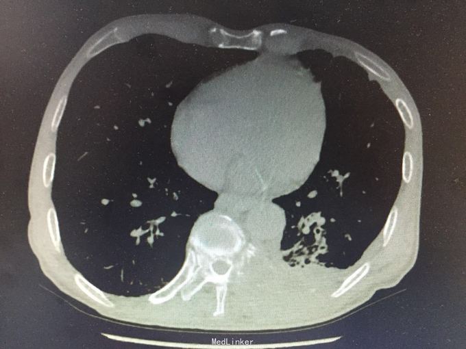
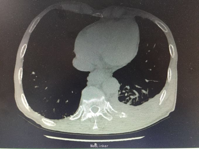
MRI示:肋骨,胸椎多发骨转移 CT示:胃Ca术后:腹膜后淋巴结转移,左侧胸膜多发转移,左侧后壁转移并T10锥体及左侧横突,第10.11后肋转移骨质破坏,骨质疏松并T12及L2压缩骨折 核医学ECT示:多发骨转移

诊断 处理

化疗加放疗治疗 核医学建议:行锶89治疗骨转移 大家集思广益,看看这个病人下一步做何治疗

随访 讨论

注意随访治疗效果

发布于 15-12-22 10:19

0 个评论

暂无评论
发送