下载或打开 医联APP 查看完整评论
立即下载
打开APP
患者女性,30岁,因“宫颈癌术后2+年,发现外阴肿物8月”入院。患者2+年前顺产后发现宫颈中低分化腺癌,行广泛全子宫+双侧输卵管切除+盆腔淋巴结切除+双侧输卵管悬吊术,术后病理:。予以多西他赛+奥沙利铂静脉化疗4次,后定期复查无异常。8月前无明显诱因发现肿物,质硬,无瘙痒、压痛、溃疡及异常阴道流液,肿物渐增大。
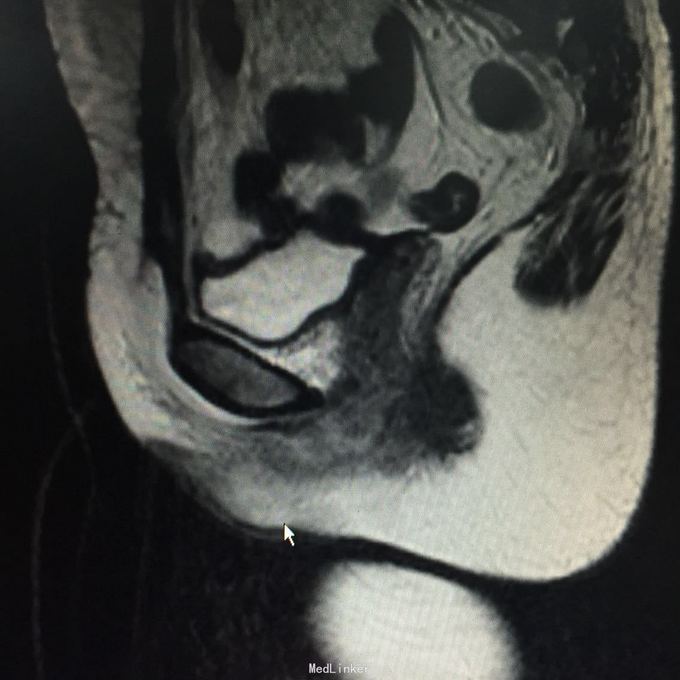
查体:会阴部位可及一大小约3*2cm质硬肿物,边界清,无压痛。阴道残端愈合可。辅助检查:HPV-DNA、LCT未见异常,阴道镜检查:会阴肿物,性质待查。彩超体表肿物:阴道口左侧低回声团,范围约42*20mm,肿块距体表1.8mm,内见丰富血流信号。盆腔MR:宫颈癌根治术后改变,阴道残端下份、阴道口占位,建议活检,双侧髂血管旁、腹股沟多发稍大淋巴结。会阴部位肿物。彩超:子宫切除术后,盆腔未见明显占位,肝胆胰脾双肾输尿管膀胱未见异常。






诊断:会阴肿物:宫颈转移癌待排。并予以行会阴肿物切除术,术后病理:鳞状上皮下查见低分化腺癌。术后诊断:会阴肿物:宫颈癌转移灶。术后予行PET-CT检查。并予以行多西他赛+奥沙利铂静脉化疗。
对于复发性宫颈癌患者,治疗首选放化疗结合,患者病情目前仍在继续跟踪随访。