下载或打开 医联APP 查看完整评论
立即下载
打开APP
患者男,22岁,因“左臀部包块伴疼痛,进行性增大8+月”入院。入院前8+月,患者无明显诱因出现左臀部疼痛,并发现局部有包块。疼痛为钝痛,坐时加重,常反复,不伴发热及盗汗。于当地医院就诊,怀疑骨盆肿瘤;现为求进一步诊疗来我院就诊。


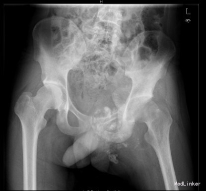
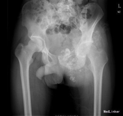
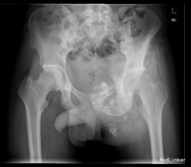
查体:左侧臀部内侧区隆起,局部皮肤无充血红肿,无浅静脉怒张,无皮肤破溃、皮疹及足癣。左侧臀部内侧区及左侧腹股沟区可触及巨大圆形包块,质硬,压痛明显,皮温不高,无明显触觉减退区,左足背动脉搏动正常,肢端末梢血循环正常。 辅查:骨盆CT提示左髂骨恶性肿瘤,突破皮质,边界不清,部分钙化。

初步诊断:左侧骨盆骨肉瘤(Ⅰ+Ⅱ+Ⅲ区) 诊疗计划:完善术前抽血常规、心电图及胸片等检查后择期手术治疗。

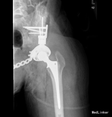
已行左侧骨盆肿瘤切除活检+左半骨盆置换术。由于骨盆区解剖结构复杂,骨盆恶性骨肿瘤的保肢手术极具挑战性。早期文献报导的致死性并发症高达10%,总体并发症更高达75%,5年生存率约为 25%-35%;目前随着技术进步预后相对较好一些。
