打开应用

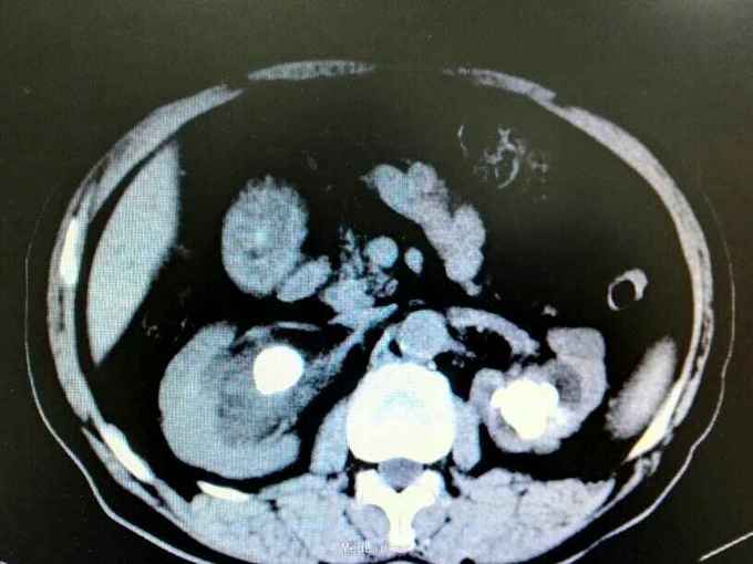
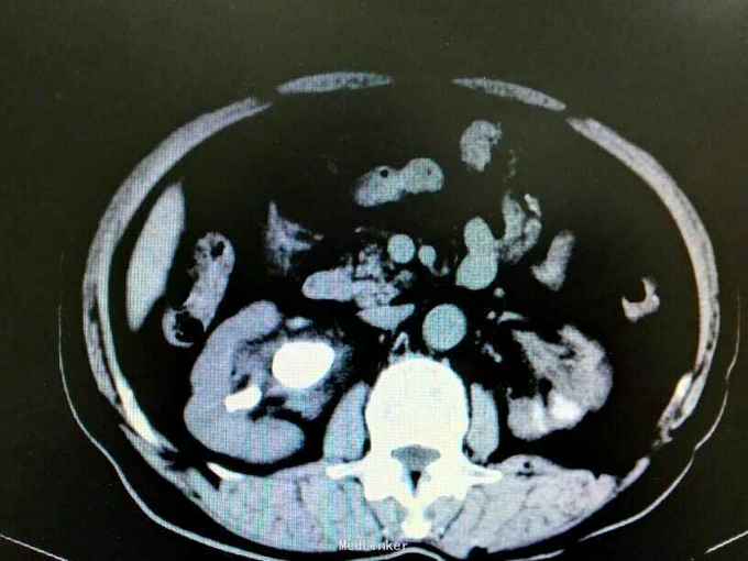
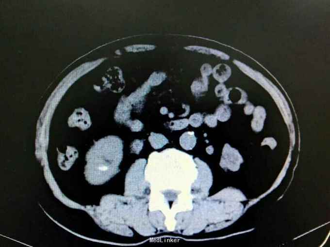
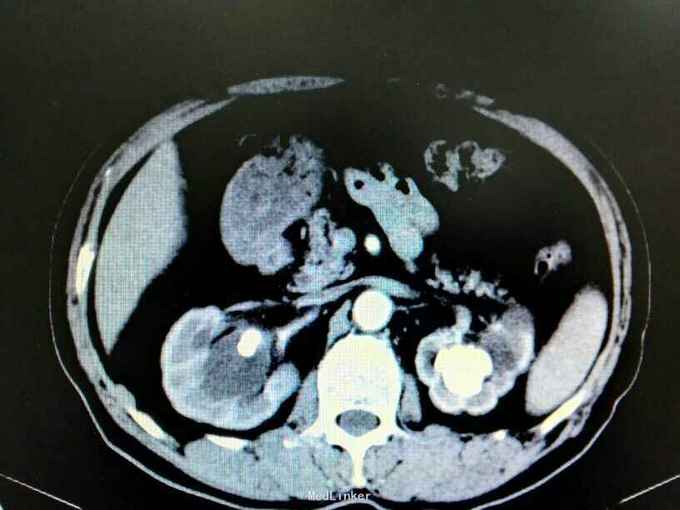
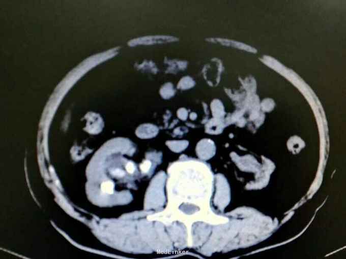
双肾铸型结石伴左肾萎缩一例

何医师   成都市第三人民医院
肾萎缩 尿路感染

主诉 病史

72岁男性,因“体检发现双肾结石1月”。既往10年前因双肾结石行双侧肾盂切开取石术(具体不详)。4年前因右肾输尿管结石行右侧输尿管碎石术。

查体 辅查

双肾区叩痛。尿常规白细胞1500个/ul,两次尿培养阴性。左肾GFR15右侧38.9。

诊断 处理

双肾铸型结石 左肾萎缩,尿路感染,双肾盂切开取石术后,BPH。经抗感染等治疗后,现在尿常规白细胞395.4个/ul。

随访 讨论

下一步治疗方案

发布于 15-12-21 22:54

1 个评论

发送