打开应用

冠二次修复,瓷贴面修复扭转牙

张医师   重庆拜博口腔医院管理有限公司永川拜博口腔医院

主诉 病史

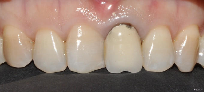
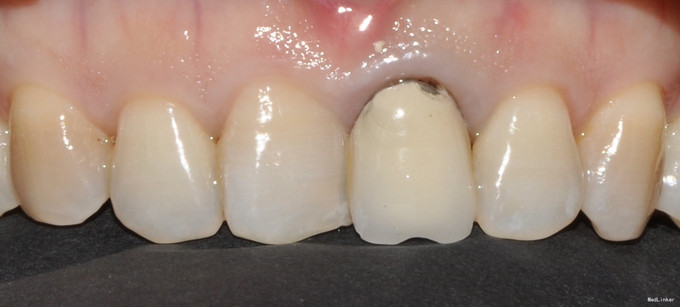
五年前上一颗牙烤瓷冠修复,现觉不美观,特来就诊

查体 辅查

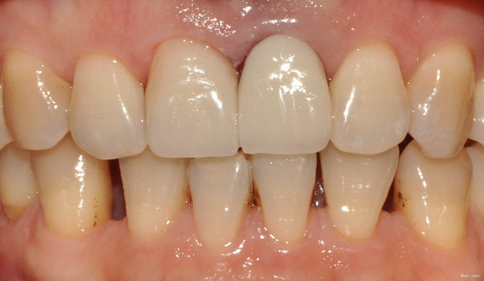
21金属烤瓷冠修复,牙龈缘由金属露出,叩(—),探(—),不松动 11近中舌侧扭转,无不适

诊断 处理

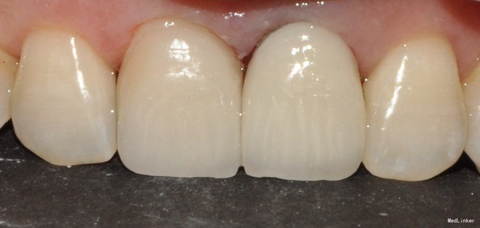
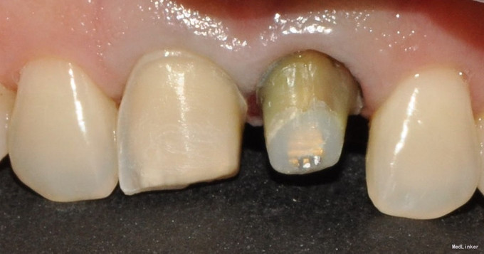
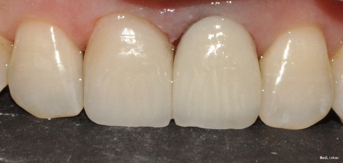
21金属烤瓷崩瓷,11近中舌侧扭转 常规比色,拆除21金属烤瓷冠,预备,11常规贴面预备,取模,做临时牙,行21全瓷冠修复,11瓷贴面修复

随访 讨论

瓷贴面和冠一起修复时,可以先做贴面,后做冠。 拆除就修复体后,牙龈有炎症,形态不好的需先修整牙龈,再行其他修复

发布于 15-12-21 22:24

4 个评论

发送