下载或打开 医联APP 查看完整评论
立即下载
打开APP
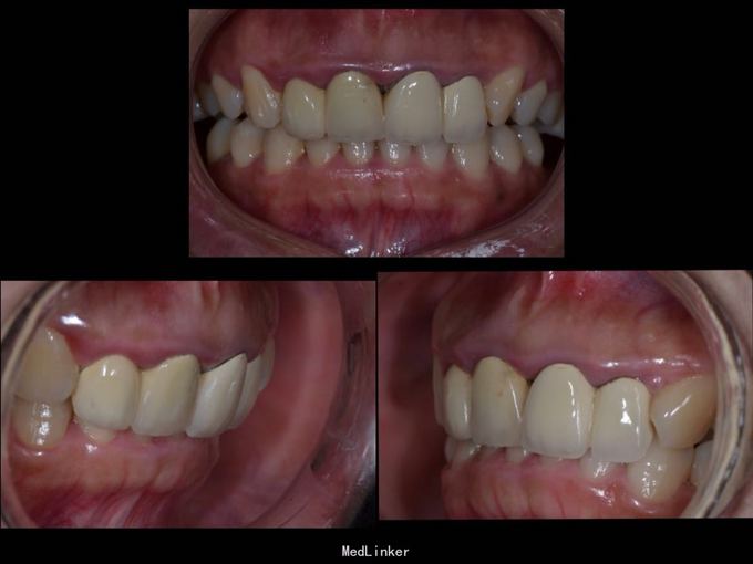
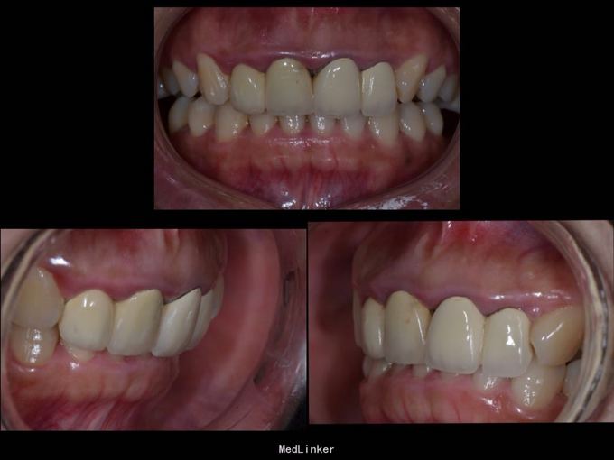
上门牙外伤金属烤瓷冠修复七年,牙龈发黑,红肿,有异味,颜色黄不美观,其他牙也黄不美观,要求重新修复


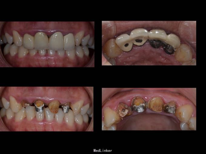
11 12 21 22金属烤瓷冠修复,牙龈发黑,冠颈部牙龈萎缩红肿有黑褐色腐质物,探出血,叩(-).23近中颊侧扭转倾斜.36 37 46 47残根,松动轻,全口牙结石中度,牙齿颜色偏黄,全景片示,11 12 21 22根管治疗不完善,根尖低密度影,有金属桩修复








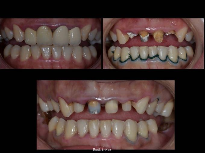
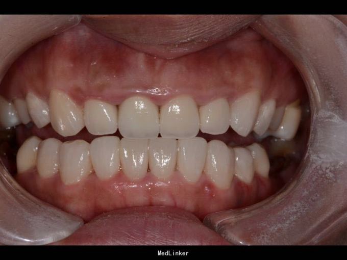
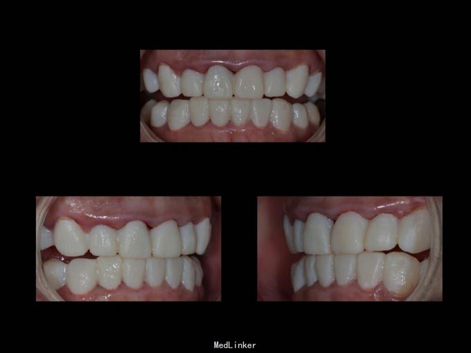
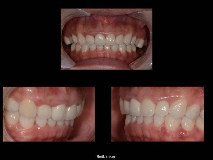
11 12 21 22死髓牙,不良修复体,牙龈炎 36 37 46 47残根 牙列不齐 处置:全口洁治。 比色,拍照,取模型做蜡型。 拆除旧修复体,拆桩核,做根管治疗,纤维桩修复,牙体预备,取模,做临时冠,粘固。11 12 21 22全瓷冠修复,13 14 23 24 31 32 33 34 41 42 43 44瓷贴面修复。









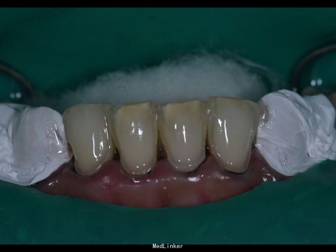
1.旧修复体覆合大,11 212 21 22龈缘位置较低且不对称,能做冠延长协调红白美学,更好 2.拆旧桩核要小心根折,用超声振动,一点一点拆.11桩核粘固比较牢固,根尖炎,定期观察行根尖手术倒充填。 3贴面的粘接,耐心








