下载或打开 医联APP 查看完整评论
立即下载
打开APP
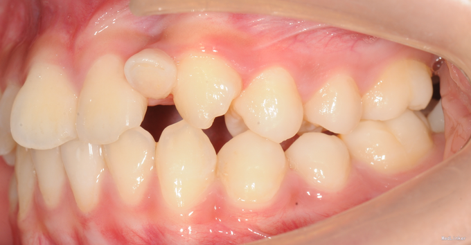
13岁女孩,主诉门牙不美观,要求改善






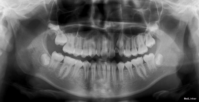
直面型,左上乳2仍存,口内未见恒2,下前牙口内只有3颗。上下牙齿轻度拥挤不齐。全景示下前牙先天缺失一颗,左上恒2垂直埋伏阻生。
诊断:先天缺牙;22牙埋伏阻生 治疗:排齐整平后,拔除乳侧切牙(先保留乳牙不拔的目的是为了保持骨量)然后开窗牵引恒2,先用弹力线逐渐加力,牙齿快移入牙弓的时候粘接拖槽,用12niti的辅弓辅助22牙排齐,同时主弓丝仍为1825ss维持弓形不变。





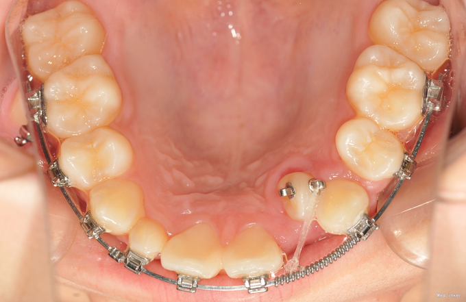
目前此患者已进入精细调整阶段,效果不错。对阻生牙的牵引一般都要求在硬丝上才行,以免将弓形拉塌陷,后期快拉到位的时候,辅弓是个很好的选择,能快速排齐牵引的牙齿,同时主弓丝又能维持弓形的完整。