打开应用

上颌侧切牙种植+GBR一例

王医师   空军军医大学口腔医学院
根尖周炎

主诉 病史

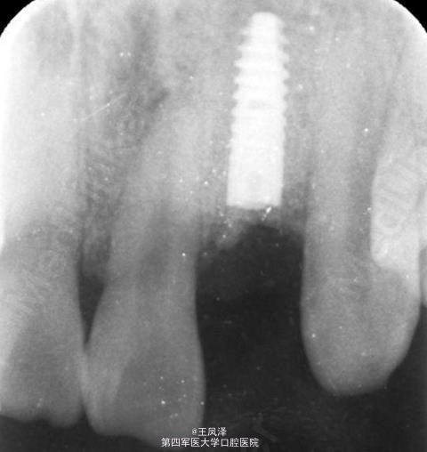
患者,刘某某、29岁,男性。主诉:上颌22烤瓷牙冠脱落,临床检查:22牙根唇舌向纵折,唇侧粘膜轻度红肿。

查体 辅查

x线检查:22根尖区有阴影。诊断:22牙根纵折伴根尖周炎。

诊断 处理

22牙根纵折伴根尖周炎。 治疗计划:1.拔除22. 2.三个月后延期种植22

随访 讨论

恢复良好

发布于 15-04-29 16:15

3 个评论

发送