下载或打开 医联APP 查看完整评论
立即下载
打开APP
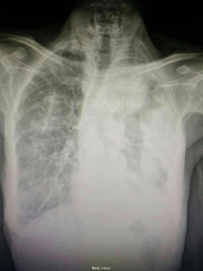
患者陈某某,女,69岁。 主诉:反复咳嗽咳痰1年余,加重伴气促1月。 病史:1年前出现咳嗽咳痰,阵发性,少量白痰,无发热,无盗汗消瘦,无胸闷胸痛,未予重视。1月余前出现咳嗽咳痰加重,伴气促,活动后明显,无夜间阵发性呼吸困难,当地医院胸片示左侧胸膜多发肿块,两侧胸膜增厚钙化,随后至我院就诊。 既往史: 有石棉接触史20余年,40年前行输卵管结扎术,26年前行阑尾切除术,否认其他疾病史,否认烟酒史。

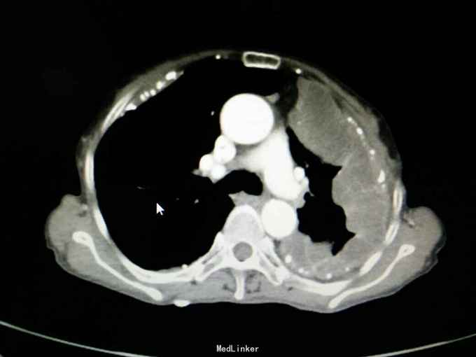
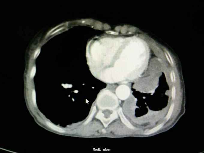
查体:神志清,精神可,生命体征平稳。两肺呼吸音粗,未闻及干湿性啰音。 辅查: 血气分析:PH7.43, 二氧化碳分压43mmHg, 氧分压77mmHg, 氧饱和度95%。 血常规:WBC7.5x10∧9/L, NE77.8%, Hb132g/L, plt231x10∧9/L。 尿常规,粪便常规,凝血功能,肿瘤标志物,CRP, 免疫功能,肝肾功能电解质无明显异常。 痰培养,痰找抗酸杆菌阴性。 心电图无明显异常。 心脏彩超:主动脉瓣局部退行性变,左室舒张功能减退,轻度肺高压。 腹部B超无异常。 胸部增强CT:双侧多发胸膜斑,左侧胸膜弥漫结节状及团块形成,考虑石棉肺伴左侧胸膜继发性恶性间皮瘤可能。






入院诊断:左侧胸膜肿物:胸膜间皮瘤? 诊治经过:予对症支持治疗,行CT引导下胸膜活检 病理:结合免疫组化和临床病史,符合恶性间皮瘤。 治疗:患者明确诊断后予化疗前预处理,择期行培美曲塞+铂类化疗

胸膜间皮瘤是原发于胸膜间皮组织或胸膜下间质组织的一种少见肿瘤,可分为局限型和弥漫型,前者可为良性或低度恶性,后者均为高度恶性。 弥漫型间皮瘤大多与石棉接触有关,局限型则与石棉接触无关。 弥漫型胸膜间皮瘤多无手术机会。有主张胸膜切除加化疗和或放疗,可延长生存期。