下载或打开 医联APP 查看完整评论
立即下载
打开APP
患者4月前因“咳嗽、咳痰伴胸痛、气促2月余”住院,检查发现左侧胸腔积液,遂行胸腔镜胸膜活检示“胸膜间皮瘤butchart分期Ⅱ期”,现为行“健择1.6g d1+伯尔定0.45g d1+安维汀400mg d1方案”第5疗程前半程化疗入院。既往无长期石棉接触史。
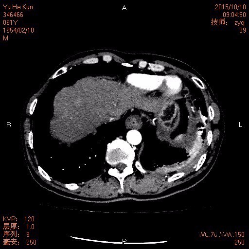
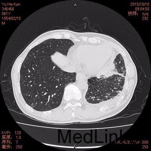
查体: T 36.8℃,BP 100/61mmHg,胸部可见既往胸腔镜检查愈合疤痕,双肺呼吸音清,双下肺呼吸音粗,未闻及干湿性罗音。 辅查: 1.胸膜活检:病变符合胸膜慢性炎伴间皮细胞增生。 2.胸水离心找癌细胞:见增生的间皮细胞,淋巴细胞,未见癌细胞 3.胸部,上腹部CT:胸膜间皮瘤”治疗后复查,1.双侧胸膜增厚较前增多、明显,左肺癌性淋巴管炎,纵隔多发淋巴结转移可能。2.左侧少量积液较前减少,现片示少量包裹性液-气胸,左肺下叶节段性压迫性肺不张。3.少量心包积液。4.符合贫血改变。


诊断:胸膜间皮瘤 治疗:2015-10-13予健择1.6g d1+伯尔定0.45g d1+安维汀400mg d1方案行第5疗程前半程化疗,本次入院后于2015-10-21予健择 1.6g d8行第5疗程后半程化疗方案,过程顺利。
出院后定期复查,一周以后再入院行下一周期化疗。胸膜间皮瘤原发性于胸膜,与石棉接触有关,对于局限性可予以外科治疗,此例伴有胸腔转移,优选化疗;如长期恶性胸腔积液难以消除,可滑石粉、四环素闭合胸腔。