下载或打开 医联APP 查看完整评论
立即下载
打开APP
主诉:患者要求补牙 现病史:患者右下后牙颊侧鼓包在外院行开髓治疗,未做后续处理,遂来本门诊就诊。 既往史:患者自述体健,否认系统性疾病(心脏,高血压史等)及药物过敏史

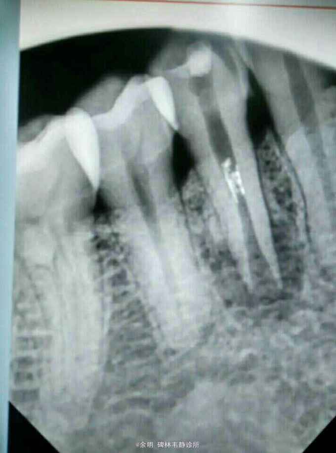
44白色暂封物(去除后可见棉捻),颊侧牙龈可探及瘘管及白色脓性分泌物,叩(+);X线片示:根管口成“喇叭状”,根管中段内可见白色物,根尖阴影。


根尖周炎?根裂?牙内吸收? 处理:44去除暂封料及棉捻,清理髓腔,H2O2.NC冲洗,取出根中白色充填物,隔湿消毒干燥后,手调氢氧化钙暂封 第二次 复诊:44颊侧瘘管未消失,白色脓性分泌物消失,叩(_)。 处理:44去除暂封料,H2O2.NC冲洗,隔湿消毒干燥后,手调碘仿及氢氧化钙暂封。 医嘱:根充后常规医嘱,不适随访。

这个病例还未处理完成,拿出来与大家讨论讨论。 1畸形中央尖一般大都有对称性,检查拍片未见34有中央尖 2牙根纵折早期有冷热痛,咀嚼痛(病人的未有这些症状)(附根纵折的资料), 3根内吸收可见牙冠成粉红色,此病人牙冠未变色 我发出来这个病例:想和大家交流交流,望大家多给宝贵意见,留下这颗牙。

