下载或打开 医联APP 查看完整评论
立即下载
打开APP
主诉:高处坠落伤后左腰痛6小时 病史:6小时前,患者自约6米高处坠落,右下肢及臀部着地,腰部受撞击,感腰痛,右下肢疼痛,活动受限,不能自解小便,安置尿管后尿液呈淡红色。
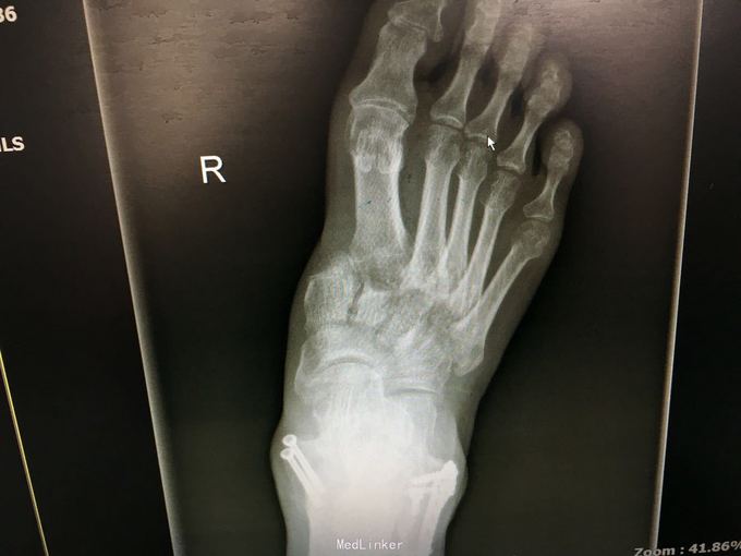
查体:左肾区叩痛,无皮肤隆起,未扪及肿块;腰椎压痛,活动受限,双下肢感觉存在,右小腿石膏托外固定,有踝关节明显肿胀,局部压痛活动受限,指端感觉血运可。 CT及X片:L2、L4椎体爆裂性骨折,L1-L4左侧横突骨折,右坐骨支骨折,右侧胫骨内、后及右侧腓骨外踝骨折,右足第1-4跖骨向外侧脱位及半脱位,伴近端斯脱性骨折。左肾挫裂伤,左肾重度积水,左肾周血肿。









诊断:右足lisfrance损伤,左肾挫裂伤;左肾周血肿,左侧输尿管结石伴左肾重度积水,L2、L4椎体骨折,L1-L4左侧横突骨折,右侧坐骨支骨折,右三踝骨折,全身多处皮肤软组织挫伤 处理:急诊行左肾探查,左肾切除术,择期行经后路腰2、4椎体骨折切开复位、椎公根螺钉内固定术+右内、外踝骨折切开复位内固定术,择期行右足lisfrance关节复位克氏针内固定术。




术后患者恢复良好,已出院。 讨论,多处骨折手术时机怎样把握