下载或打开 医联APP 查看完整评论
立即下载
打开APP
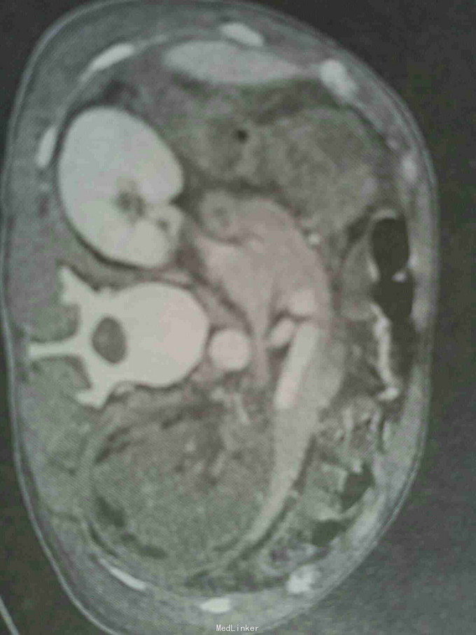
车祸后腹痛伴肉眼血尿半天。 病史:一天前患者走路时被摩托车从腰部撞伤,外伤后有短暂的昏迷。伤后感腹痛,疼痛为持续性钝痛移动体位时疼痛感加剧,无恶心呕吐,同时出现小便呈全程红色,无尿痛,未见明显的血凝块。
体温脉搏血压基本正常,腹部饱满全腹压痛左腰肌左侧上腹压痛明显,无反跳痛,左肾区叩压痛,右肾区外形正常无扣压痛,双侧输尿管走行区无压痛耻骨上膀胱区无隆起,无触痛。 ct检查结果提示肾挫裂伤,肾周血肿。


左側肾挫裂伤 左側肾周血肿 治疗:1.绝对卧床4周,休息3个月 2.住院期间严密监測患者各项生命休征变化。 3.出院后定期门诊复查。
在日常工作中如遇到,患者有胸腹部创伤史,并有可疑症状时,都应该行ct检查,排除肾脏损伤的可能性,对于自发性肾脏损伤的患者因常无明确外伤史,可能仅有腰腹部疼痛等症状,不可单纯作急腹症对症处理,需要借助影像学检查判断是否有肾脏损伤的存在,并及时处理,否则可能延误最佳治疗时机。