打开应用

腹腔镜切口疝修补术后肠瘘患者一例

何医师   中国医科大学附属盛京医院
腹膜炎 肠瘘

主诉 病史

老年男性,77岁,慢性起病,主因阑尾切除术后40年,右下腹包块3个月为主诉入院。现病史:40年前因急性阑尾炎行手术治疗。患者3个月前发现右下腹包块,鹅蛋大小,咳嗽时突出,无疼痛,无恶心呕吐,无腹胀腹泻,平卧时可还纳,未诊治。既往史: 支气管扩张症3个月。无高血压及糖尿病,无心脏病史,无结核、肝炎。无药物及食物过敏史。

查体 辅查

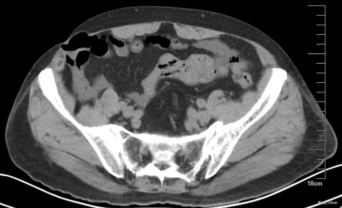
查体:腹平软,肠音正常,全腹无压痛及反跳痛,无肌紧张,右下腹见一斜形切口痕,未见明确包块突出,切口下方空虚,无压痛,站立及增加腹压时似有包块突出。左侧腹股沟区未见异常。辅助检查:腹部CT(图1):右下腹壁切口疝.

诊断 处理

完善术前检查,全麻下行腹腔镜切口疝无张力疝修补术。术中见右下腹切口下方大网膜,小肠与腹壁致密粘连.超声刀及剪刀分离粘连肠管,暴露疝环,置入proceed补片修补。术后第二天,患者出现里急后重感,伴有下腹部坠胀感。第三天,患者出现全腹腹膜炎症状,予以介入腹腔穿刺后引出黄色浑浊液体。考虑肠瘘。再次手术。术中见小肠一处破口,予以肠切除肠吻合术。补片区域感染较重,取出补片,反复冲洗腹腔后关腹。术后患者恢复良好,排气后进食。但补片处皮肤感染,红肿,渗出。予以硫酸镁湿敷。修剪掉坏死组织。术后三个月,切口缓慢愈合。

随访 讨论

讨论:腹腔镜切口疝手术最需要跟患者交待清楚同时术中最需要注意的就是肠管破损。切口疝原因一般是开腹手术术后切口感染,腹壁缺损。腹腔脏器尤其是肠管跟腹壁可能广泛粘连。肠管破损原因:1.建立气腹时扎漏。2.分离粘连时破损。3.分离时肠管浆膜破损,周围血运障碍,可能术后肠瘘。如何避免:1.远离疝区域建立气腹,或者直接直视下开放性气腹。2.分离时尽量远离肠管,使用超声刀分离,减少电设备电刀等热损伤。腹腔镜分离时更容易出现肠瘘,不是因为腹腔镜肠瘘的机会增加,而是在术中肠瘘发生时没有及时发现处理。可能腹腔镜视野未及时探到,腔镜下缝合技术较开腹难度大,较少采用预防性缝合防止术后肠瘘。肠瘘发生后处理:及时早期手术。冲洗腹腔,减少感染,缝合瘘口或切除肠管。一般在腹腔感染状态下,主张取出补片,感染一般会造成补片修补失败。该患者术前CT可见切口疝疝囊为皮肤,皮下肌肉缺损,小肠肠管直接与皮肤相接,分离肠管时造成肠瘘风险增加。

发布于 15-12-17 20:09

10 个评论

发送