打开应用

外踝毁损伤

陈医师   西山煤电(集团)有限责任公司职工总医院

主诉 病史

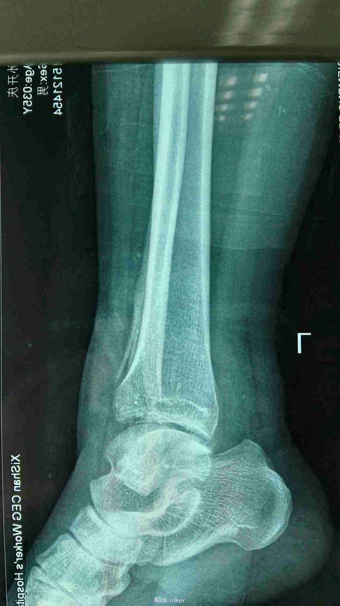
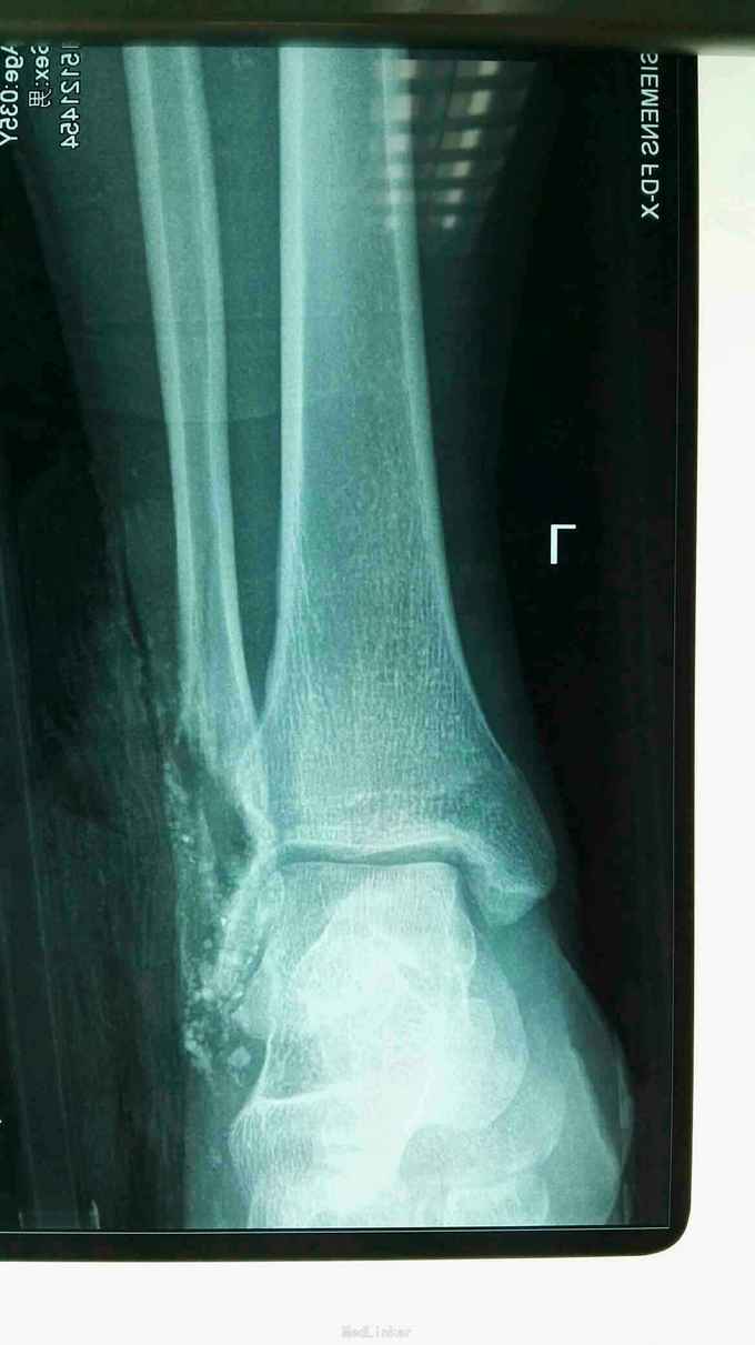
患者男子,车祸致全身多次骨折,目前患者左外踝毁损伤,皮肤缺损约15*8cm,左外踝缺损长度5cm,目前一期手术给予清创+vsd负压吸引,给予局部冲洗。目前患者受伤第三天。术中情况见图。

查体 辅查

左外踝入院时出院不止,伤口污染严重,血象高,d二聚体4500肝,肾功能正常

诊断 处理

左外踝毁损伤

发布于 15-12-17 16:05

40 个评论

发送