下载或打开 医联APP 查看完整评论
立即下载
打开APP
主诉:车祸致左足疼痛、活动受限并有大面积软组织损伤6小时。 现病史:患者6小时前因车祸致左足疼痛,活动受限伴有足背部大面积软组织损伤收住入院,急诊诊断为“左足毁损伤”。患者左足麻木感,大片足背软组织翻向外侧。




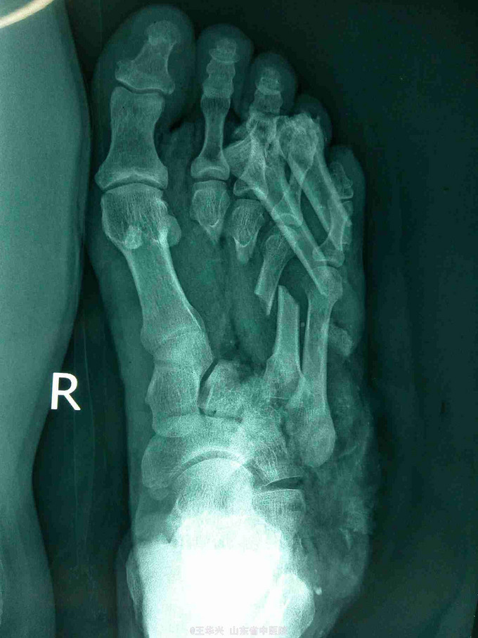
查体:左足疼痛,功能活动受限,伴有大面积软组织损伤,软组织向外侧翻转,足部前侧可见5*3cm软组织缺损,患处麻木感,足背动脉不可及。 辅助检查:x线 左足第2,3,4跖骨骨折


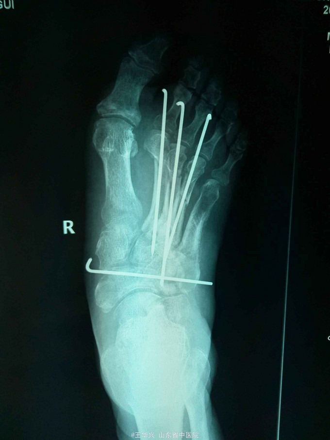
诊断:左足毁损伤 治疗:入院时已达到截肢标准,但患者家属不能接受,遂行常规手术。多次清创,行急症手术,给予简单钛针固定,软组织损伤给予原位缝合。细菌培养结果,万古霉素敏感,万古霉素局部填塞创口换药,术后给予多次清创,清除坏死组织及vsd负压吸引。待左足缺损区软组织条件可,行交腿皮瓣。






随访:现患者术后6个月,基本情况稳定,左足前部可见一软组织缺损区。 讨论:开放性外伤,行急症手术,清创要彻底,以免引起厌氧菌感染,多次清创+vsd负压吸引,换药时清楚坏死组织同时应用敏感抗生素,对抗感染及保持软组织活力。