上前牙全瓷固定桥修复一例 主诉:上前牙缺失5年余 现病史:5年前上前牙因外伤松动脱落,戴活动义齿3年余,患者自觉影响美观、咀嚼,来我科要求重新修复。 既往史:否认高血压、心脏病、糖尿病史,否认药敏史


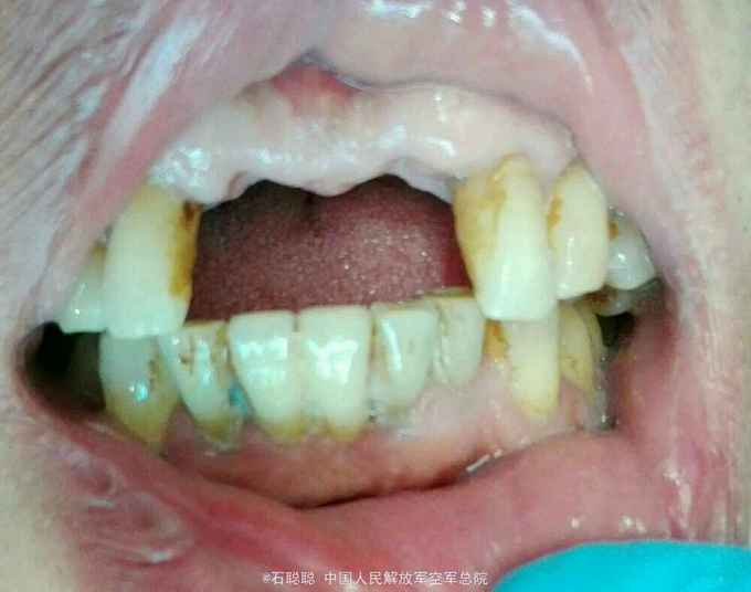
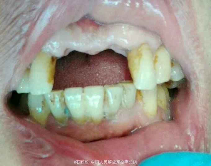
检查:11、21缺失,弹性义齿修复,牙槽脊欠丰满,12、22松动1度,13、23无松动,12、13、22、23未见明显龋坏 根尖片:12、22牙槽骨轻度水平吸收,13、23牙周膜及根尖未见明显异常




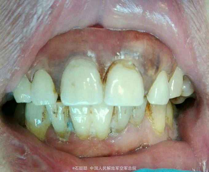
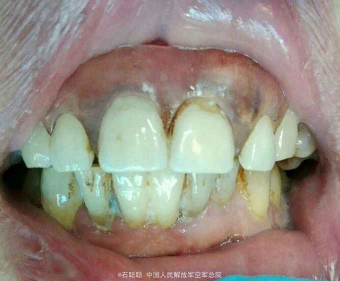
诊断:11、21缺失 治疗计划:向患者交代种植、活动、固定义齿修复方案的优缺点,患者考虑到种植周期长、活动修复难以满足美观要求,选择全瓷固定桥修复方案,但患者12、22基牙条件不甚理想,交代患者修复后要严密观察,定期复诊。 处置:12、13、22、23碧蓝局麻下开髓,拔髓,冲洗,置失活剂,氧化锌暂封 一周后复诊:去除暂封,测量根长,12=22=19mm,扩大至25#,13=23=24mm,扩大至35#,大量冲洗,干燥根管,置CP棉球,氧化锌暂封。 一周复诊:12、13、22、23去除暂封,试主尖,冲洗,干燥,冷测压充填,拍摄根尖片,恰填,置干棉球,氧化锌暂封 一周后复诊:12、13、22、23无不适,去除暂封,磷酸锌垫底,树脂充填,预备牙体,排龈,聚醚取模制作临时冠,调磨粘固 一周后复诊:试戴内冠,就位顺利,边缘密合 一周复诊:试戴全瓷桥,由于边缘密合,固位良好,调节正中咬合、前伸咬合、侧方咬合为轻接触,磨光U200粘固








讨论:在这个病历中,由于12、22牙槽骨有所吸收,并且缺牙区牙槽骨有一定量的丧失,这种修复方式并不推荐,但患者了解各种修复方式优缺点之后,强烈反对种植和活动修复,只能进行固定桥修复,治疗结束后除外嘱咐患者常规义齿戴总注意事项,一定要定期复查,观察基牙情况,防止牙槽骨进一步吸收。在制作义齿时,加工厂为补充缺牙区的牙槽骨吸收,龈端唇舌侧均补充了较多的瓷,可能会使得义齿视觉上比较大,这也是一种折中的做法。



