打开应用

大脑中动脉高密度影一例

董医师   中国医科大学附属盛京医院
脱水

主诉 病史

老年女性,85岁,急性起病。 主因突发头痛伴左侧肢体瘫痪8小时入院。 现病史:患者8小时前无明显诱因出现头痛,左侧肢体不能活动,右侧肢体正常,无头晕,无视物晃动,无视物模糊及视物双影,无耳鸣及听力下降,无抽搐,无言语意识,急到我院急诊就诊,行头CT示:双侧基底节区腔隙性梗塞,心电图提示:窦性心动过缓,心率40次每分。急诊给予药物保守治疗,患者未见明显好转。遂收入我科,患者病来无发热,无吞咽困难及饮水呛咳,未饮食,未睡眠可。大小便基本正常。既往史:既往否认高血压,糖尿病病史,有窦性心动过缓病史30年,心率常年维持在40次每分左右,未系统诊治。否认手术,外伤史。否认肝炎结合病史。否认食物药物过敏史。痛风病史20年。

查体 辅查

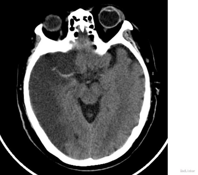
神清,语笨,双侧瞳孔等大正圆,D=3.0mm,光反应灵敏,双眼球各方向运动充分,无眼震,双侧鼻唇沟对称,伸舌右偏,右侧肌力Ⅴ级,肌张力正常,左侧肢体肌力0级,深浅感觉正常,共济运动正常,BCR L++ R++,PSR L++ R++,Babinski sign L-R-,Kernig征(-)颈软。 我院急诊头CT示:右侧半球新发梗塞,右侧大脑中动脉高密度影

诊断 处理

诊断:急性脑梗塞(大面积) 脱水降颅压级抗板、改善循环等治疗。

随访 讨论

急性脑梗塞临床常见,颅脑CT为首选检查,早期大面积梗塞表现:脑实质低密度征、大脑中动脉高密度征、局部脑肿胀。

发布于 15-12-12 14:54

9 个评论

发送