下载或打开 医联APP 查看完整评论
立即下载
打开APP
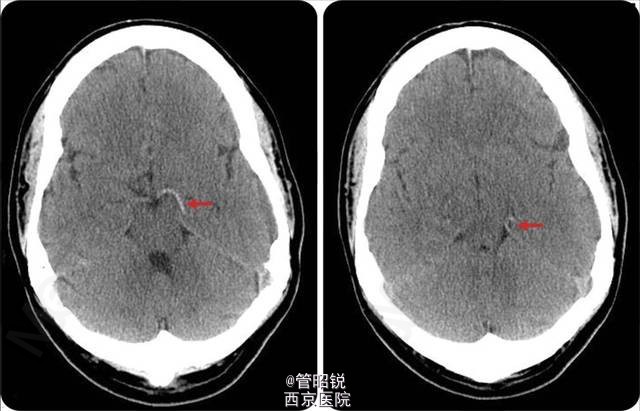
患者男性,38 岁,突发右侧肢体偏瘫、偏身感觉障碍及偏盲。头颅 CT 显示左侧大脑后动脉高密度征 (Hyperdense posterior cerebral artery sign,HPCAS)(见图 1)。CTA 显示左侧大脑后动脉闭塞(见图 2)。MRI 显示左侧大脑后动脉梗塞。经食管超声心动图检查可见一房间隔瘤和卵圆孔未闭。 患者予抗血小板聚集治疗。HPCAS 一直被认为是大脑后动脉区域急性梗塞的标志性征象。急性卒中后行头颅 CT 识别 HPCAS 有助于大脑后动脉分支梗塞的诊断与治疗。Neurology 杂志

